Recherche par :

ANATOMIE SÉMIOLOGIE
 

Diagnologic est un site exclusivement destiné aux professionnels de santé. Son utilisation implique l’acceptation des Conditions d'utilisation.

Dossier patient - Images clés

Les images ci-dessous illustrent ce dossier pour les diagnostics Tumeur du sac vitellin, pour les modalités (Scanner ,IRM)

Les gammes relatives à ce cas sont les suivantes : :

  • Masse annexielle complexe
  • Masse pelvienne complexe
  • Masse annexielle solide
  • Masse pelvienne solide

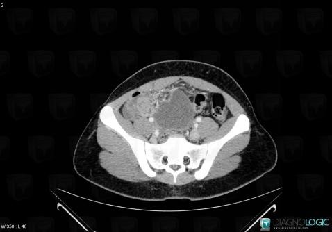
Tumeur-sac vitellin, Annexe / Ovaire - trompe, Pelvis / Périnée, Scanner
Voici les informations spécifiques à l'image clé ci dessus:
- Diagnostic Tumeur du sac vitellin, Localisation(s) Annexe / Ovaire - trompe, comportant les gammes Masse annexielle complexePelvis / Périnée, comportant les gammes Masse pelvienne complexe

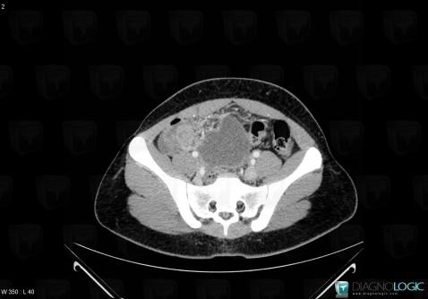
Tumeur-sac vitellin, Annexe / Ovaire - trompe, Pelvis / Périnée, Scanner
Voici les informations spécifiques à l'image clé ci dessus:
- Diagnostic Tumeur du sac vitellin, Localisation(s) Annexe / Ovaire - trompe, comportant les gammes Masse annexielle complexePelvis / Périnée, comportant les gammes Masse pelvienne complexe

Tumeur-sac vitellin, Annexe / Ovaire - trompe, Pelvis / Périnée, IRM
Voici les informations spécifiques à l'image clé ci dessus:
- Diagnostic Tumeur du sac vitellin, Localisation(s) Pelvis / Périnée, comportant les gammes Masse pelvienne complexeAnnexe / Ovaire - trompe, comportant les gammes Masse annexielle complexe

Tumeur-sac vitellin, Annexe / Ovaire - trompe, Pelvis / Périnée, IRM
Voici les informations spécifiques à l'image clé ci dessus:
- Diagnostic Tumeur du sac vitellin, Localisation(s) Annexe / Ovaire - trompe, comportant les gammes Masse annexielle solidePelvis / Périnée, comportant les gammes Masse pelvienne solide

Tumeur-sac vitellin, Annexe / Ovaire - trompe, Pelvis / Périnée, IRM
Voici les informations spécifiques à l'image clé ci dessus:
- Diagnostic Tumeur du sac vitellin, Localisation(s) Pelvis / Périnée, comportant les gammes Masse pelvienne complexeAnnexe / Ovaire - trompe, comportant les gammes Masse annexielle complexe

Tumeur-sac vitellin, Annexe / Ovaire - trompe, Pelvis / Périnée, IRM
Voici les informations spécifiques à l'image clé ci dessus:
- Diagnostic Tumeur du sac vitellin, Localisation(s) Annexe / Ovaire - trompe, comportant les gammes Masse annexielle solidePelvis / Périnée, comportant les gammes Masse pelvienne solide

Revenir au dossier patient