Recherche par :

ANATOMIE SÉMIOLOGIE
 

Diagnologic est un site exclusivement destiné aux professionnels de santé. Son utilisation implique l’acceptation des Conditions d'utilisation.

Dossier patient - Images clés

Les images ci-dessous illustrent ce dossier pour les diagnostics Télangiectasie capillaire, pour les modalités (IRM)

Les gammes relatives à ce cas sont les suivantes : :

  • Lésion infratentorielle en isosignal T2 ou FLAIR
  • Lésion du tronc cérébral
  • Lésion infratentorielle à réhaussement modéré

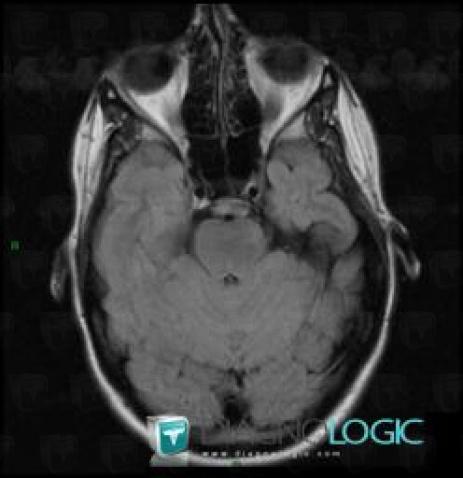
Télangiectasie capillaire, Fosse postérieure, IRM
Voici les informations spécifiques à l'image clé ci dessus:
- Diagnostic Télangiectasie capillaire, Localisation(s) Fosse postérieure, comportant les gammes

Télangiectasie capillaire, Fosse postérieure, IRM
Voici les informations spécifiques à l'image clé ci dessus:
- Diagnostic Télangiectasie capillaire, Localisation(s) Fosse postérieure, comportant les gammes Lésion infratentorielle en isosignal T2 ou FLAIR

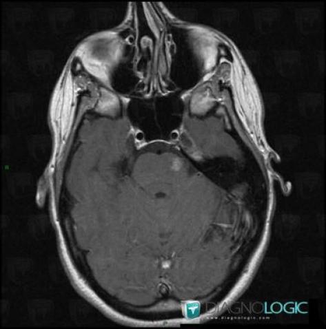
Télangiectasie capillaire, Tronc cérébral, Fosse postérieure, IRM
Voici les informations spécifiques à l'image clé ci dessus:
- Diagnostic Télangiectasie capillaire, Localisation(s) Tronc cérébral, comportant les gammes Lésion du tronc cérébralFosse postérieure, comportant les gammes Lésion infratentorielle à réhaussement modéré

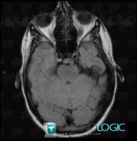
Télangiectasie capillaire, Fosse postérieure, IRM
Voici les informations spécifiques à l'image clé ci dessus:
- Diagnostic Télangiectasie capillaire, Localisation(s) Fosse postérieure, comportant les gammes

Télangiectasie capillaire, Fosse postérieure, IRM
Voici les informations spécifiques à l'image clé ci dessus:
- Diagnostic Télangiectasie capillaire, Localisation(s) Fosse postérieure, comportant les gammes Lésion infratentorielle en isosignal T2 ou FLAIR

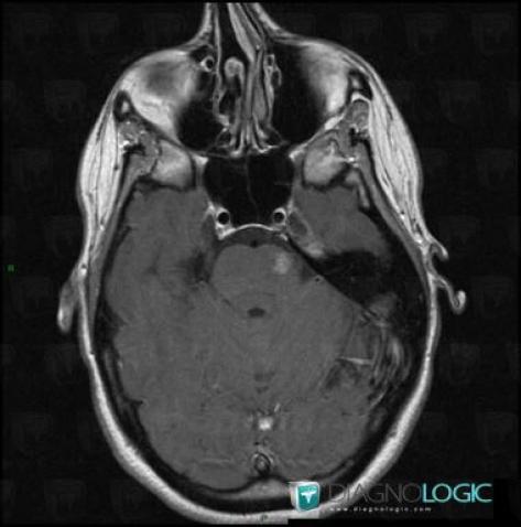
Télangiectasie capillaire, Tronc cérébral, Fosse postérieure, IRM
Voici les informations spécifiques à l'image clé ci dessus:
- Diagnostic Télangiectasie capillaire, Localisation(s) Tronc cérébral, comportant les gammes Lésion du tronc cérébralFosse postérieure, comportant les gammes Lésion infratentorielle à réhaussement modéré

Revenir au dossier patient