Recherche par :

ANATOMIE SÉMIOLOGIE
 

Diagnologic est un site exclusivement destiné aux professionnels de santé. Son utilisation implique l’acceptation des Conditions d'utilisation.

Dossier patient - Images clés

Les images ci-dessous illustrent ce dossier pour les diagnostics Télangiectasie capillaire, Anomalie veineuse de développement, pour les modalités (IRM ,Scanner)

Les gammes relatives à ce cas sont les suivantes : :

  • Lésion intracérébrale en isosignal T2 ou FLAIR
  • Lésion intracérébrale à réhaussement modéré
  • Sans Gamme

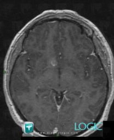
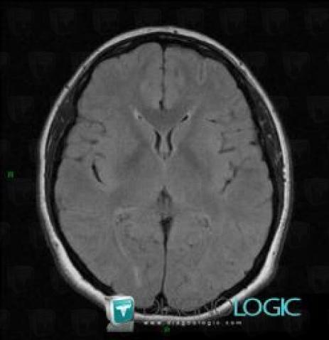
Télangiectasie capillaire, Hémisphères cérébraux, IRM
Voici les informations spécifiques à l'image clé ci dessus:
- Diagnostic Télangiectasie capillaire, Localisation(s) Hémisphères cérébraux, comportant les gammes Lésion intracérébrale en isosignal T2 ou FLAIR

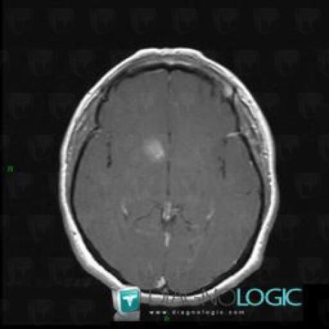
Télangiectasie capillaire, Hémisphères cérébraux, Noyaux gris centraux et capsule, IRM
Voici les informations spécifiques à l'image clé ci dessus:
- Diagnostic Télangiectasie capillaire, Localisation(s) Hémisphères cérébraux, comportant les gammes Lésion intracérébrale à réhaussement modéréNoyaux gris centraux et capsule, comportant les gammes

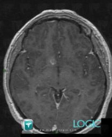
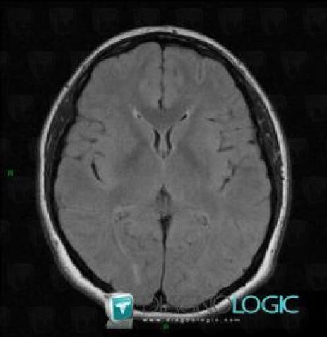
Télangiectasie capillaire, Hémisphères cérébraux, IRM
Voici les informations spécifiques à l'image clé ci dessus:
- Diagnostic Télangiectasie capillaire, Localisation(s) Hémisphères cérébraux, comportant les gammes Lésion intracérébrale en isosignal T2 ou FLAIR

Anomalie veineuse-développement, Noyaux gris centraux et capsule, IRM
Voici les informations spécifiques à l'image clé ci dessus:
- Diagnostic Anomalie veineuse de développement, Localisation(s) Noyaux gris centraux et capsule, comportant les gammes

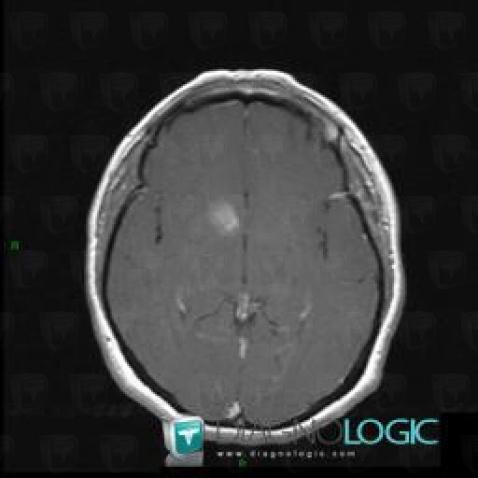
Télangiectasie capillaire, Hémisphères cérébraux, Noyaux gris centraux et capsule, IRM
Voici les informations spécifiques à l'image clé ci dessus:
- Diagnostic Télangiectasie capillaire, Localisation(s) Hémisphères cérébraux, comportant les gammes Lésion intracérébrale à réhaussement modéréNoyaux gris centraux et capsule, comportant les gammes

Anomalie veineuse-développement, Noyaux gris centraux et capsule, IRM
Voici les informations spécifiques à l'image clé ci dessus:
- Diagnostic Anomalie veineuse de développement, Localisation(s) Noyaux gris centraux et capsule, comportant les gammes

Revenir au dossier patient