Recherche par :

ANATOMIE SÉMIOLOGIE
 

Diagnologic est un site exclusivement destiné aux professionnels de santé. Son utilisation implique l’acceptation des Conditions d'utilisation.

Dossier patient - Images clés

Les images ci-dessous illustrent ce dossier pour les diagnostics Schwannome, pour les modalités (IRM ,Scanner)

Les gammes relatives à ce cas sont les suivantes : :

  • Masse solide cervicale
  • Lésion de l'espace carotidien
  • Lésions de l'apex pétreuse
  • Ostéolyse de l'oreille moyenne ou de la mastoide
  • Lésion du foramen jugulaire
  • Lésion des nerfs craniens
  • Lésion extra axiale infra tentorielle
  • Lésion infratentorielle en hypersignal T2 ou FLAIR
  • Lésion infratentorielle à réhaussement intense

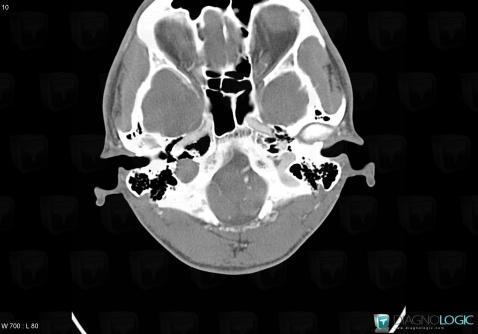
Schwannome, Espaces profonds-cou, Scanner
Voici les informations spécifiques à l'image clé ci dessus:
- Diagnostic Schwannome, Localisation(s) Espaces profonds du cou, comportant les gammes Masse solide cervicale, Lésion de l'espace carotidien

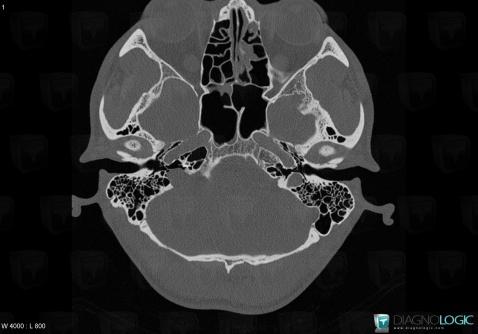
Schwannome, Os temporal, Scanner
Voici les informations spécifiques à l'image clé ci dessus:
- Diagnostic Schwannome, Localisation(s) Os temporal, comportant les gammes Lésions de l'apex pétreuse, Ostéolyse de l'oreille moyenne ou de la mastoide

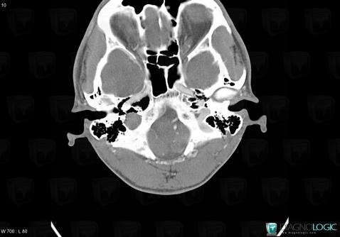
Schwannome, Espaces profonds-cou, Scanner
Voici les informations spécifiques à l'image clé ci dessus:
- Diagnostic Schwannome, Localisation(s) Espaces profonds du cou, comportant les gammes Masse solide cervicale, Lésion de l'espace carotidien

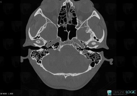
Schwannome, Os temporal, Scanner
Voici les informations spécifiques à l'image clé ci dessus:
- Diagnostic Schwannome, Localisation(s) Os temporal, comportant les gammes Lésions de l'apex pétreuse, Ostéolyse de l'oreille moyenne ou de la mastoide

Schwannome, Espaces profonds de-face, Scanner
Voici les informations spécifiques à l'image clé ci dessus:
- Diagnostic Schwannome, Localisation(s) Espaces profonds de la face, comportant les gammes Lésion de l'espace carotidien, Masse solide cervicale

Schwannome, Foramen jugulaire, Autres nerfs craniens, Scanner
Voici les informations spécifiques à l'image clé ci dessus:
- Diagnostic Schwannome, Localisation(s) Foramen jugulaire, comportant les gammes Lésion du foramen jugulaireAutres nerfs craniens, comportant les gammes Lésion des nerfs craniens

Schwannome, Espaces profonds de-face, Scanner
Voici les informations spécifiques à l'image clé ci dessus:
- Diagnostic Schwannome, Localisation(s) Espaces profonds de la face, comportant les gammes Lésion de l'espace carotidien, Masse solide cervicale

Schwannome, Espaces peri cérébraux infratentoriels, Autres nerfs craniens, IRM
Voici les informations spécifiques à l'image clé ci dessus:
- Diagnostic Schwannome, Localisation(s) Autres nerfs craniens, comportant les gammes Lésion des nerfs craniensEspaces peri cérébraux infratentoriels, comportant les gammes Lésion extra axiale infra tentorielleFosse postérieure, comportant les gammes Lésion infratentorielle en hypersignal T2 ou FLAIR

Schwannome, Foramen jugulaire, Autres nerfs craniens, Scanner
Voici les informations spécifiques à l'image clé ci dessus:
- Diagnostic Schwannome, Localisation(s) Foramen jugulaire, comportant les gammes Lésion du foramen jugulaireAutres nerfs craniens, comportant les gammes Lésion des nerfs craniens

Schwannome, Espaces peri cérébraux infratentoriels, Autres nerfs craniens, IRM
Voici les informations spécifiques à l'image clé ci dessus:
- Diagnostic Schwannome, Localisation(s) Autres nerfs craniens, comportant les gammes Lésion des nerfs craniensEspaces peri cérébraux infratentoriels, comportant les gammes Lésion extra axiale infra tentorielleFosse postérieure, comportant les gammes Lésion infratentorielle en hypersignal T2 ou FLAIR

Schwannome, Fosse postérieure, IRM
Voici les informations spécifiques à l'image clé ci dessus:
- Diagnostic Schwannome, Localisation(s) Fosse postérieure, comportant les gammes Lésion infratentorielle à réhaussement intense

Schwannome, Foramen jugulaire, IRM
Voici les informations spécifiques à l'image clé ci dessus:
- Diagnostic Schwannome, Localisation(s) Foramen jugulaire, comportant les gammes Lésion du foramen jugulaire

Schwannome, Espaces profonds de-face, IRM
Voici les informations spécifiques à l'image clé ci dessus:
- Diagnostic Schwannome, Localisation(s) Espaces profonds de la face, comportant les gammes Masse solide cervicale, Lésion de l'espace carotidien

Schwannome, Fosse postérieure, IRM
Voici les informations spécifiques à l'image clé ci dessus:
- Diagnostic Schwannome, Localisation(s) Fosse postérieure, comportant les gammes Lésion infratentorielle à réhaussement intense

Schwannome, Foramen jugulaire, IRM
Voici les informations spécifiques à l'image clé ci dessus:
- Diagnostic Schwannome, Localisation(s) Foramen jugulaire, comportant les gammes Lésion du foramen jugulaire

Schwannome, Espaces profonds de-face, IRM
Voici les informations spécifiques à l'image clé ci dessus:
- Diagnostic Schwannome, Localisation(s) Espaces profonds de la face, comportant les gammes Masse solide cervicale, Lésion de l'espace carotidien

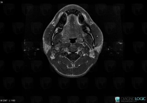
Schwannome, Espaces profonds-cou, IRM
Voici les informations spécifiques à l'image clé ci dessus:
- Diagnostic Schwannome, Localisation(s) Espaces profonds du cou, comportant les gammes Lésion de l'espace carotidien, Masse solide cervicale

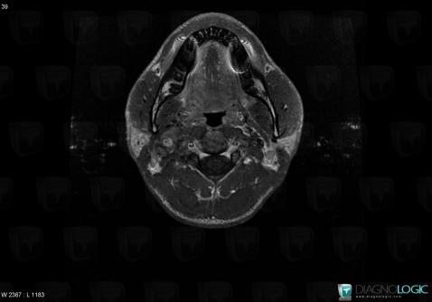
Schwannome, Espaces profonds-cou, IRM
Voici les informations spécifiques à l'image clé ci dessus:
- Diagnostic Schwannome, Localisation(s) Espaces profonds du cou, comportant les gammes Lésion de l'espace carotidien, Masse solide cervicale

Revenir au dossier patient