Recherche par :

ANATOMIE SÉMIOLOGIE
 

Diagnologic est un site exclusivement destiné aux professionnels de santé. Son utilisation implique l’acceptation des Conditions d'utilisation.

Dossier patient - Images clés

Les images ci-dessous illustrent ce dossier pour les diagnostics Sarcoïdose, pour les modalités (Scanner)

Les gammes relatives à ce cas sont les suivantes : :

  • Masse médiastinale supérieure
  • Masse médiastinale antérieure
  • Masse médiastinale moyenne
  • Masse médiastinale de faible densité
  • Masse médiastinale postérieure
  • Adénomégalie hilaire
  • Masse des parties molles paravertébrales
  • Masse de l'angle cardiophrénique
  • Hépatomégalie
  • Adénopathie rétropéritonéale
  • Masse rétropéritonéale hypodense
  • Maladie prédominant dans les régions supérieures du poumon
  • Micronodules périlymphatiques pulmonaires
  • Maladie prédominant en périphérie ou en sous pleural
  • Condensation vertébrale focalisée

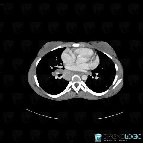
Sarcoïdose, Médiastin, Scanner
Voici les informations spécifiques à l'image clé ci dessus:
- Diagnostic Sarcoïdose, Localisation(s) Médiastin, comportant les gammes Masse médiastinale supérieure

Sarcoïdose, Médiastin, Scanner
Voici les informations spécifiques à l'image clé ci dessus:
- Diagnostic Sarcoïdose, Localisation(s) Médiastin, comportant les gammes Masse médiastinale antérieure

Sarcoïdose, Médiastin, Scanner
Voici les informations spécifiques à l'image clé ci dessus:
- Diagnostic Sarcoïdose, Localisation(s) Médiastin, comportant les gammes Masse médiastinale moyenne

Sarcoïdose, Médiastin, Scanner
Voici les informations spécifiques à l'image clé ci dessus:
- Diagnostic Sarcoïdose, Localisation(s) Médiastin, comportant les gammes Masse médiastinale supérieure

Sarcoïdose, Médiastin, Scanner
Voici les informations spécifiques à l'image clé ci dessus:
- Diagnostic Sarcoïdose, Localisation(s) Médiastin, comportant les gammes Masse médiastinale antérieure

Sarcoïdose, Médiastin, Scanner
Voici les informations spécifiques à l'image clé ci dessus:
- Diagnostic Sarcoïdose, Localisation(s) Médiastin, comportant les gammes Masse médiastinale moyenne

Sarcoïdose, Médiastin, Paravertébral, Scanner
Voici les informations spécifiques à l'image clé ci dessus:
- Diagnostic Sarcoïdose, Localisation(s) Médiastin, comportant les gammes Masse médiastinale de faible densité, Masse médiastinale postérieure, Adénomégalie hilaireParavertébral, comportant les gammes Masse des parties molles paravertébrales

Sarcoïdose, Médiastin, Scanner
Voici les informations spécifiques à l'image clé ci dessus:
- Diagnostic Sarcoïdose, Localisation(s) Médiastin, comportant les gammes Masse de l'angle cardiophrénique

Sarcoïdose, Médiastin, Scanner
Voici les informations spécifiques à l'image clé ci dessus:
- Diagnostic Sarcoïdose, Localisation(s) Médiastin, comportant les gammes Masse de l'angle cardiophrénique

Sarcoïdose, Foie, Scanner
Voici les informations spécifiques à l'image clé ci dessus:
- Diagnostic Sarcoïdose, Localisation(s) Foie, comportant les gammes Hépatomégalie

Sarcoïdose, Médiastin, Paravertébral, Scanner
Voici les informations spécifiques à l'image clé ci dessus:
- Diagnostic Sarcoïdose, Localisation(s) Médiastin, comportant les gammes Masse médiastinale de faible densité, Masse médiastinale postérieure, Adénomégalie hilaireParavertébral, comportant les gammes Masse des parties molles paravertébrales

Sarcoïdose, Foie, Scanner
Voici les informations spécifiques à l'image clé ci dessus:
- Diagnostic Sarcoïdose, Localisation(s) Foie, comportant les gammes Hépatomégalie

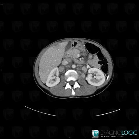
Sarcoïdose, Rétroperitoine, Scanner
Voici les informations spécifiques à l'image clé ci dessus:
- Diagnostic Sarcoïdose, Localisation(s) Rétroperitoine, comportant les gammes Adénopathie rétropéritonéale, Masse rétropéritonéale hypodense

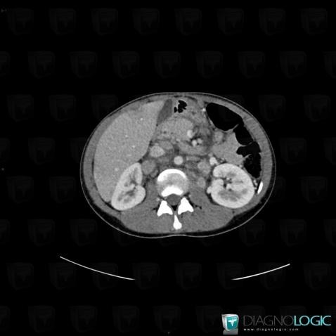
Sarcoïdose, Rétroperitoine, Scanner
Voici les informations spécifiques à l'image clé ci dessus:
- Diagnostic Sarcoïdose, Localisation(s) Rétroperitoine, comportant les gammes Adénopathie rétropéritonéale, Masse rétropéritonéale hypodense

Sarcoïdose, Parenchyme pulmonaire, Scanner
Voici les informations spécifiques à l'image clé ci dessus:
- Diagnostic Sarcoïdose, Localisation(s) Parenchyme pulmonaire, comportant les gammes Maladie prédominant dans les régions supérieures du poumon, Micronodules périlymphatiques pulmonaires, Maladie prédominant en périphérie ou en sous pleural

Sarcoïdose, Parenchyme pulmonaire, Scanner
Voici les informations spécifiques à l'image clé ci dessus:
- Diagnostic Sarcoïdose, Localisation(s) Parenchyme pulmonaire, comportant les gammes Maladie prédominant dans les régions supérieures du poumon, Micronodules périlymphatiques pulmonaires, Maladie prédominant en périphérie ou en sous pleural

Sarcoïdose, Corps vertébral / Disque, Scanner
Voici les informations spécifiques à l'image clé ci dessus:
- Diagnostic Sarcoïdose, Localisation(s) Corps vertébral / Disque, comportant les gammes Condensation vertébrale focalisée

Sarcoïdose, Corps vertébral / Disque, Scanner
Voici les informations spécifiques à l'image clé ci dessus:
- Diagnostic Sarcoïdose, Localisation(s) Corps vertébral / Disque, comportant les gammes Condensation vertébrale focalisée

Revenir au dossier patient