Recherche par :

ANATOMIE SÉMIOLOGIE
 

Diagnologic est un site exclusivement destiné aux professionnels de santé. Son utilisation implique l’acceptation des Conditions d'utilisation.

Dossier patient - Images clés

Les images ci-dessous illustrent ce dossier pour les diagnostics Sarcoïdose, pour les modalités (Scanner)

Les gammes relatives à ce cas sont les suivantes : :

  • Maladie prédominant en péri hilaire
  • Condensation alvéolaire localisée
  • Condensation alvéolaire chronique
  • Epaississement péri broncho vasculaire / Epaississement septal irrégulier
  • Adénomégalie hilaire
  • Masse médiastinale contenant des calcifications

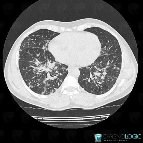
Sarcoïdose, Parenchyme pulmonaire, Scanner
Voici les informations spécifiques à l'image clé ci dessus:
- Diagnostic Sarcoïdose, Localisation(s) Parenchyme pulmonaire, comportant les gammes Maladie prédominant en péri hilaire, Condensation alvéolaire localisée, Condensation alvéolaire chronique

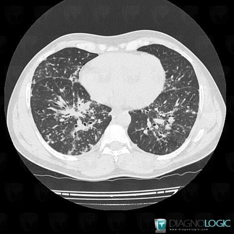
Sarcoïdose, Parenchyme pulmonaire, Scanner
Voici les informations spécifiques à l'image clé ci dessus:
- Diagnostic Sarcoïdose, Localisation(s) Parenchyme pulmonaire, comportant les gammes Epaississement péri broncho vasculaire / Epaississement septal irrégulier

Sarcoïdose, Parenchyme pulmonaire, Scanner
Voici les informations spécifiques à l'image clé ci dessus:
- Diagnostic Sarcoïdose, Localisation(s) Parenchyme pulmonaire, comportant les gammes Maladie prédominant en péri hilaire, Condensation alvéolaire localisée, Condensation alvéolaire chronique

Sarcoïdose, Parenchyme pulmonaire, Scanner
Voici les informations spécifiques à l'image clé ci dessus:
- Diagnostic Sarcoïdose, Localisation(s) Parenchyme pulmonaire, comportant les gammes Epaississement péri broncho vasculaire / Epaississement septal irrégulier

Sarcoïdose, Médiastin, Scanner
Voici les informations spécifiques à l'image clé ci dessus:
- Diagnostic Sarcoïdose, Localisation(s) Médiastin, comportant les gammes Adénomégalie hilaire, Masse médiastinale contenant des calcifications

Sarcoïdose, Médiastin, Scanner
Voici les informations spécifiques à l'image clé ci dessus:
- Diagnostic Sarcoïdose, Localisation(s) Médiastin, comportant les gammes Adénomégalie hilaire, Masse médiastinale contenant des calcifications

Revenir au dossier patient