Recherche par :

ANATOMIE SÉMIOLOGIE
 

Diagnologic est un site exclusivement destiné aux professionnels de santé. Son utilisation implique l’acceptation des Conditions d'utilisation.

Dossier patient - Images clés

Les images ci-dessous illustrent ce dossier pour les diagnostics Sarcoïdose, pour les modalités (IRM ,Radio)

Les gammes relatives à ce cas sont les suivantes : :

  • Lésion ostéolytique des os de la main
  • Arthropathie sans ostéoporose
  • Ostéolyse phalangienne

Sarcoïdose, Métacarpiens, IRM
Voici les informations spécifiques à l'image clé ci dessus:
- Diagnostic Sarcoïdose, Localisation(s) Métacarpiens, comportant les gammes Lésion ostéolytique des os de la main

Sarcoïdose, Métacarpiens, IRM
Voici les informations spécifiques à l'image clé ci dessus:
- Diagnostic Sarcoïdose, Localisation(s) Métacarpiens, comportant les gammes Lésion ostéolytique des os de la main

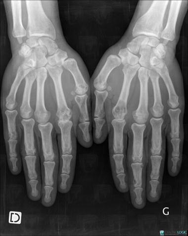
Sarcoïdose, Métacarpiens, Phalanges / Os sésamoides - Main, Radio
Voici les informations spécifiques à l'image clé ci dessus:
- Diagnostic Sarcoïdose, Localisation(s) Métacarpiens, comportant les gammes Lésion ostéolytique des os de la mainArticulations métacarpo phalangiennes, comportant les gammes Arthropathie sans ostéoporoseArticulations inter phalangiennes - Main, comportant les gammes Arthropathie sans ostéoporosePhalanges / Os sésamoides - Main, comportant les gammes Ostéolyse phalangienne

Sarcoïdose, Métacarpiens, Phalanges / Os sésamoides - Main, Radio
Voici les informations spécifiques à l'image clé ci dessus:
- Diagnostic Sarcoïdose, Localisation(s) Métacarpiens, comportant les gammes Lésion ostéolytique des os de la mainArticulations métacarpo phalangiennes, comportant les gammes Arthropathie sans ostéoporoseArticulations inter phalangiennes - Main, comportant les gammes Arthropathie sans ostéoporosePhalanges / Os sésamoides - Main, comportant les gammes Ostéolyse phalangienne

Revenir au dossier patient