Recherche par :

ANATOMIE SÉMIOLOGIE
 

Diagnologic est un site exclusivement destiné aux professionnels de santé. Son utilisation implique l’acceptation des Conditions d'utilisation.

Dossier patient - Images clés

Les images ci-dessous illustrent ce dossier pour les diagnostics Pneumothorax, Bleb, pour les modalités (Scanner ,Radio)

Les gammes relatives à ce cas sont les suivantes : :

  • Lésions kystiques pulmonaires multiples
  • Sans Gamme

Bleb, Parenchyme pulmonaire, Scanner
Voici les informations spécifiques à l'image clé ci dessus:
- Diagnostic Bleb, Localisation(s) Parenchyme pulmonaire, comportant les gammes Lésions kystiques pulmonaires multiples

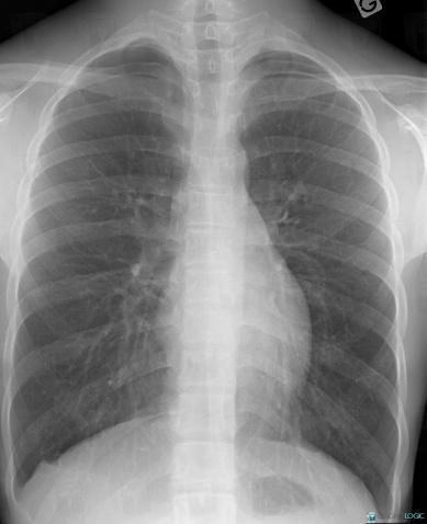
Pneumothorax, Plèvre, Radio
Voici les informations spécifiques à l'image clé ci dessus:
- Diagnostic Pneumothorax, Localisation(s) Plèvre, comportant les gammes

Bleb, Parenchyme pulmonaire, Scanner
Voici les informations spécifiques à l'image clé ci dessus:
- Diagnostic Bleb, Localisation(s) Parenchyme pulmonaire, comportant les gammes Lésions kystiques pulmonaires multiples

Pneumothorax, Plèvre, Radio
Voici les informations spécifiques à l'image clé ci dessus:
- Diagnostic Pneumothorax, Localisation(s) Plèvre, comportant les gammes

Revenir au dossier patient