Recherche par :

ANATOMIE SÉMIOLOGIE
 

Diagnologic est un site exclusivement destiné aux professionnels de santé. Son utilisation implique l’acceptation des Conditions d'utilisation.

Dossier patient - Images clés

Les images ci-dessous illustrent ce dossier pour les diagnostics Ostéochondromatose synoviale, pour les modalités (IRM ,Scanner ,Radio)

Les gammes relatives à ce cas sont les suivantes : :

  • Lésions de la graisse de hoffa
  • Masse des parties molles juxta articulaires
  • Arthropathie avec nodules des parties molles
  • Masse ou épaississement synovial
  • Masse calcifiée des parties molles
  • Calcifications des parties molles
  • Calcification intra ou périarticulaire
  • Ostéolyse corticale
  • Erosion corticale
  • Masse des parties molles avec ostéolyse

Ostéochondromatose synoviale, Articulations fémoro tibiales / Echancrure, Articulation fémoro patellaire, IRM
Voici les informations spécifiques à l'image clé ci dessus:
- Diagnostic Ostéochondromatose synoviale, Localisation(s) Articulations fémoro tibiales / Echancrure, comportant les gammes Lésions de la graisse de hoffaArticulation fémoro patellaire, comportant les gammes Masse des parties molles juxta articulaires, Arthropathie avec nodules des parties molles, Masse ou épaississement synovial

Ostéochondromatose synoviale, Articulations fémoro tibiales / Echancrure, Articulation fémoro patellaire, IRM
Voici les informations spécifiques à l'image clé ci dessus:
- Diagnostic Ostéochondromatose synoviale, Localisation(s) Articulations fémoro tibiales / Echancrure, comportant les gammes Lésions de la graisse de hoffaArticulation fémoro patellaire, comportant les gammes Masse des parties molles juxta articulaires, Arthropathie avec nodules des parties molles, Masse ou épaississement synovial

Ostéochondromatose synoviale, Articulations fémoro tibiales / Echancrure, IRM
Voici les informations spécifiques à l'image clé ci dessus:
- Diagnostic Ostéochondromatose synoviale, Localisation(s) Articulations fémoro tibiales / Echancrure, comportant les gammes Masse ou épaississement synovial, Masse des parties molles juxta articulaires, Arthropathie avec nodules des parties molles

Ostéochondromatose synoviale, Articulations fémoro tibiales / Echancrure, IRM
Voici les informations spécifiques à l'image clé ci dessus:
- Diagnostic Ostéochondromatose synoviale, Localisation(s) Articulations fémoro tibiales / Echancrure, comportant les gammes Masse ou épaississement synovial, Masse des parties molles juxta articulaires, Arthropathie avec nodules des parties molles

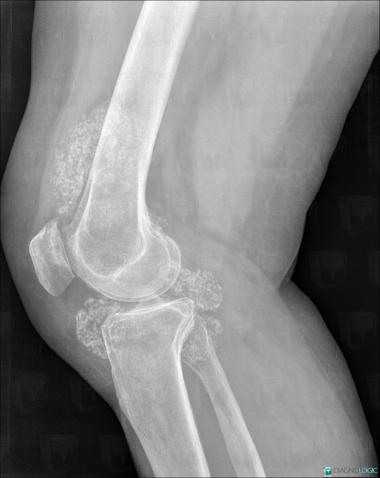
Ostéochondromatose synoviale, Articulations fémoro tibiales / Echancrure, Autres parties molles/nerfs - Genou, Radio
Voici les informations spécifiques à l'image clé ci dessus:
- Diagnostic Ostéochondromatose synoviale, Localisation(s) Articulations fémoro tibiales / Echancrure, comportant les gammes Arthropathie avec nodules des parties molles, Masse des parties molles juxta articulaires, Calcification intra ou périarticulaireAutres parties molles/nerfs - Genou, comportant les gammes Masse des parties molles juxta articulaires, Masse calcifiée des parties molles, Calcifications des parties molles

Ostéochondromatose synoviale, Fémur -inférieur, Tibia -supérieur, Scanner
Voici les informations spécifiques à l'image clé ci dessus:
- Diagnostic Ostéochondromatose synoviale, Localisation(s) Fémur - 1/3 inférieur, comportant les gammes Ostéolyse corticale, Erosion corticaleTibia - 1/3 supérieur, comportant les gammes Ostéolyse corticale, Erosion corticaleAutres parties molles/nerfs - Genou, comportant les gammes Calcifications des parties molles, Masse des parties molles avec ostéolyse, Masse calcifiée des parties molles, Masse des parties molles juxta articulaires

Ostéochondromatose synoviale, Articulations fémoro tibiales / Echancrure, Articulation fémoro patellaire, Scanner
Voici les informations spécifiques à l'image clé ci dessus:
- Diagnostic Ostéochondromatose synoviale, Localisation(s) Articulation fémoro patellaire, comportant les gammes Masse des parties molles juxta articulaires, Arthropathie avec nodules des parties molles, Calcification intra ou périarticulaire, Masse ou épaississement synovialArticulations fémoro tibiales / Echancrure, comportant les gammes Masse des parties molles juxta articulaires, Arthropathie avec nodules des parties molles, Masse ou épaississement synovial, Calcification intra ou périarticulaire, Lésions de la graisse de hoffa

Ostéochondromatose synoviale, Fémur -inférieur, Tibia -supérieur, Scanner
Voici les informations spécifiques à l'image clé ci dessus:
- Diagnostic Ostéochondromatose synoviale, Localisation(s) Fémur - 1/3 inférieur, comportant les gammes Ostéolyse corticale, Erosion corticaleTibia - 1/3 supérieur, comportant les gammes Ostéolyse corticale, Erosion corticaleAutres parties molles/nerfs - Genou, comportant les gammes Calcifications des parties molles, Masse des parties molles avec ostéolyse, Masse calcifiée des parties molles, Masse des parties molles juxta articulaires

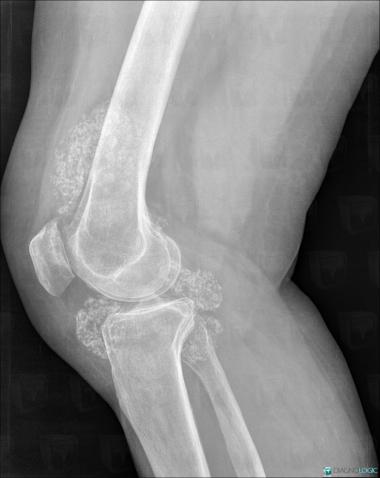
Ostéochondromatose synoviale, Articulations fémoro tibiales / Echancrure, Autres parties molles/nerfs - Genou, Radio
Voici les informations spécifiques à l'image clé ci dessus:
- Diagnostic Ostéochondromatose synoviale, Localisation(s) Articulations fémoro tibiales / Echancrure, comportant les gammes Arthropathie avec nodules des parties molles, Masse des parties molles juxta articulaires, Calcification intra ou périarticulaireAutres parties molles/nerfs - Genou, comportant les gammes Masse des parties molles juxta articulaires, Masse calcifiée des parties molles, Calcifications des parties molles

Ostéochondromatose synoviale, Articulations fémoro tibiales / Echancrure, Articulation fémoro patellaire, Scanner
Voici les informations spécifiques à l'image clé ci dessus:
- Diagnostic Ostéochondromatose synoviale, Localisation(s) Articulation fémoro patellaire, comportant les gammes Masse des parties molles juxta articulaires, Arthropathie avec nodules des parties molles, Calcification intra ou périarticulaire, Masse ou épaississement synovialArticulations fémoro tibiales / Echancrure, comportant les gammes Masse des parties molles juxta articulaires, Arthropathie avec nodules des parties molles, Masse ou épaississement synovial, Calcification intra ou périarticulaire, Lésions de la graisse de hoffa

Revenir au dossier patient