Recherche par :

ANATOMIE SÉMIOLOGIE
 

Diagnologic est un site exclusivement destiné aux professionnels de santé. Son utilisation implique l’acceptation des Conditions d'utilisation.

Dossier patient - Images clés

Les images ci-dessous illustrent ce dossier pour les diagnostics Oligodendrogliome, pour les modalités (IRM ,Scanner)

Les gammes relatives à ce cas sont les suivantes : :

  • Lésion en hypersignal T2 ou FLAIR des noyaux gris centraux
  • Lésion du corps calleux
  • Lésion intracérébrale en hypersignal T2 ou FLAIR
  • Anomalies périventriculaires décelées en IRM
  • Lésion intracérébrale à réhaussement minime ou nul

Oligodendrogliome, Noyaux gris centraux et capsule, IRM
Voici les informations spécifiques à l'image clé ci dessus:
- Diagnostic Oligodendrogliome, Localisation(s) Noyaux gris centraux et capsule, comportant les gammes Lésion en hypersignal T2 ou FLAIR des noyaux gris centraux

Oligodendrogliome, Corps calleux, IRM
Voici les informations spécifiques à l'image clé ci dessus:
- Diagnostic Oligodendrogliome, Localisation(s) Corps calleux, comportant les gammes Lésion du corps calleux

Oligodendrogliome, Hémisphères cérébraux, IRM
Voici les informations spécifiques à l'image clé ci dessus:
- Diagnostic Oligodendrogliome, Localisation(s) Hémisphères cérébraux, comportant les gammes Lésion intracérébrale en hypersignal T2 ou FLAIR

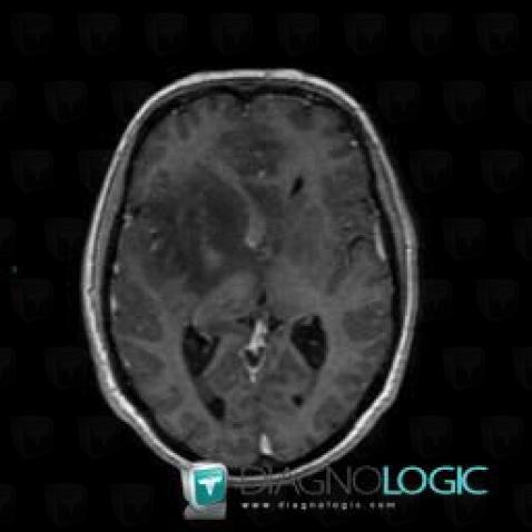
Oligodendrogliome, Ventricules / Région périventriculaire, IRM
Voici les informations spécifiques à l'image clé ci dessus:
- Diagnostic Oligodendrogliome, Localisation(s) Ventricules / Région périventriculaire, comportant les gammes Anomalies périventriculaires décelées en IRM

Oligodendrogliome, Corps calleux, IRM
Voici les informations spécifiques à l'image clé ci dessus:
- Diagnostic Oligodendrogliome, Localisation(s) Corps calleux, comportant les gammes Lésion du corps calleux

Oligodendrogliome, Ventricules / Région périventriculaire, IRM
Voici les informations spécifiques à l'image clé ci dessus:
- Diagnostic Oligodendrogliome, Localisation(s) Ventricules / Région périventriculaire, comportant les gammes Anomalies périventriculaires décelées en IRM

Oligodendrogliome, Noyaux gris centraux et capsule, IRM
Voici les informations spécifiques à l'image clé ci dessus:
- Diagnostic Oligodendrogliome, Localisation(s) Noyaux gris centraux et capsule, comportant les gammes Lésion en hypersignal T2 ou FLAIR des noyaux gris centraux

Oligodendrogliome, Hémisphères cérébraux, IRM
Voici les informations spécifiques à l'image clé ci dessus:
- Diagnostic Oligodendrogliome, Localisation(s) Hémisphères cérébraux, comportant les gammes Lésion intracérébrale en hypersignal T2 ou FLAIR

Oligodendrogliome, Hémisphères cérébraux, IRM
Voici les informations spécifiques à l'image clé ci dessus:
- Diagnostic Oligodendrogliome, Localisation(s) Hémisphères cérébraux, comportant les gammes Lésion intracérébrale à réhaussement minime ou nul

Oligodendrogliome, Hémisphères cérébraux, IRM
Voici les informations spécifiques à l'image clé ci dessus:
- Diagnostic Oligodendrogliome, Localisation(s) Hémisphères cérébraux, comportant les gammes Lésion intracérébrale à réhaussement minime ou nul

Oligodendrogliome, Hémisphères cérébraux, Scanner
Voici les informations spécifiques à l'image clé ci dessus:
- Diagnostic Oligodendrogliome, Localisation(s) Hémisphères cérébraux, comportant les gammes Lésion intracérébrale à réhaussement minime ou nul

Oligodendrogliome, Hémisphères cérébraux, Scanner
Voici les informations spécifiques à l'image clé ci dessus:
- Diagnostic Oligodendrogliome, Localisation(s) Hémisphères cérébraux, comportant les gammes Lésion intracérébrale à réhaussement minime ou nul

Revenir au dossier patient