Recherche par :

ANATOMIE SÉMIOLOGIE
 

Diagnologic est un site exclusivement destiné aux professionnels de santé. Son utilisation implique l’acceptation des Conditions d'utilisation.

Dossier patient - Images clés

Les images ci-dessous illustrent ce dossier pour les diagnostics Maladie d'Osgood-Schlatter, pour les modalités (Radio)

Les gammes relatives à ce cas sont les suivantes : :

  • Sans Gamme

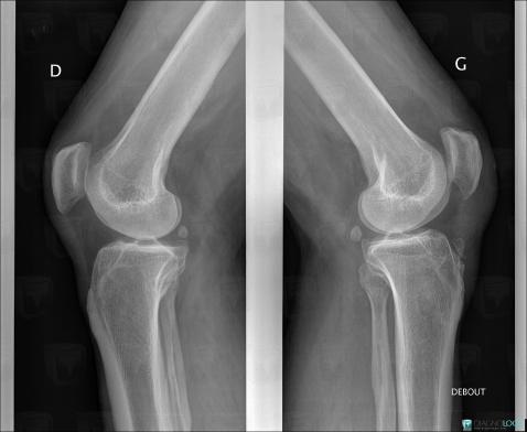
Maladie d'Osgood-Schlatter, Tibia -supérieur, Radio
Voici les informations spécifiques à l'image clé ci dessus:
- Diagnostic Maladie d'Osgood-Schlatter, Localisation(s) Tibia - 1/3 supérieur, comportant les gammes

Maladie d'Osgood-Schlatter, Tibia -supérieur, Radio
Voici les informations spécifiques à l'image clé ci dessus:
- Diagnostic Maladie d'Osgood-Schlatter, Localisation(s) Tibia - 1/3 supérieur, comportant les gammes

Revenir au dossier patient