Recherche par :

ANATOMIE SÉMIOLOGIE
 

Diagnologic est un site exclusivement destiné aux professionnels de santé. Son utilisation implique l’acceptation des Conditions d'utilisation.

Dossier patient - Images clés

Les images ci-dessous illustrent ce dossier pour les diagnostics Macroadénome hypophysaire, pour les modalités (IRM ,Scanner)

Les gammes relatives à ce cas sont les suivantes : :

  • Lésion en hypersignal T2 sellaire ou parasellaire
  • Lésion du sinus caverneux
  • Masse sellaire et parasellaire
  • Masse intra sinusienne
  • Lésion du clivus et du sphénoide
  • Lésion de la fosse ptérygo-palatine

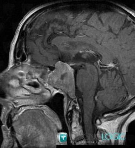
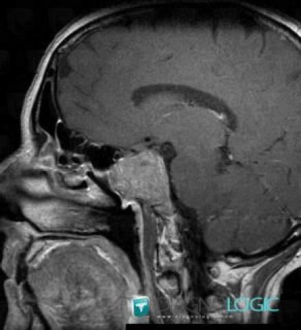
Macroadénome hypophysaire, Hypophyse et région parasellaire, IRM
Voici les informations spécifiques à l'image clé ci dessus:
- Diagnostic Macroadénome hypophysaire, Localisation(s) Hypophyse et région parasellaire, comportant les gammes Lésion en hypersignal T2 sellaire ou parasellaire

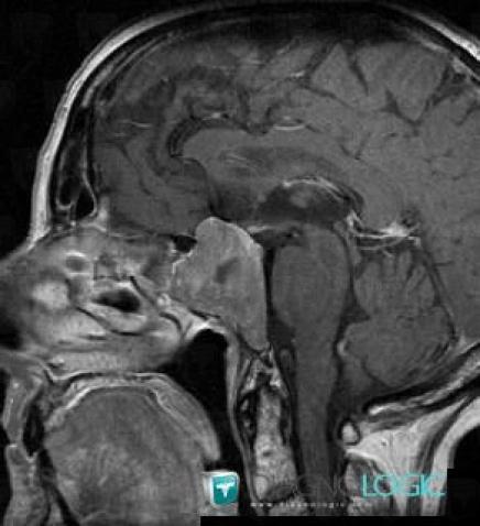
Macroadénome hypophysaire, Hypophyse et région parasellaire, IRM
Voici les informations spécifiques à l'image clé ci dessus:
- Diagnostic Macroadénome hypophysaire, Localisation(s) Hypophyse et région parasellaire, comportant les gammes Lésion du sinus caverneux

Macroadénome hypophysaire, Hypophyse et région parasellaire, IRM
Voici les informations spécifiques à l'image clé ci dessus:
- Diagnostic Macroadénome hypophysaire, Localisation(s) Hypophyse et région parasellaire, comportant les gammes Lésion en hypersignal T2 sellaire ou parasellaire

Macroadénome hypophysaire, Hypophyse et région parasellaire, IRM
Voici les informations spécifiques à l'image clé ci dessus:
- Diagnostic Macroadénome hypophysaire, Localisation(s) Hypophyse et région parasellaire, comportant les gammes Lésion du sinus caverneux

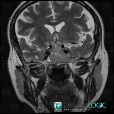
Macroadénome hypophysaire, Hypophyse et région parasellaire, IRM
Voici les informations spécifiques à l'image clé ci dessus:
- Diagnostic Macroadénome hypophysaire, Localisation(s) Hypophyse et région parasellaire, comportant les gammes Masse sellaire et parasellaire

Macroadénome hypophysaire, Hypophyse et région parasellaire, IRM
Voici les informations spécifiques à l'image clé ci dessus:
- Diagnostic Macroadénome hypophysaire, Localisation(s) Hypophyse et région parasellaire, comportant les gammes Masse sellaire et parasellaire

Macroadénome hypophysaire, Sinus, IRM
Voici les informations spécifiques à l'image clé ci dessus:
- Diagnostic Macroadénome hypophysaire, Localisation(s) Sinus, comportant les gammes Masse intra sinusienne

Macroadénome hypophysaire, Sphenoïde, IRM
Voici les informations spécifiques à l'image clé ci dessus:
- Diagnostic Macroadénome hypophysaire, Localisation(s) Sphenoïde, comportant les gammes Lésion du clivus et du sphénoide

Macroadénome hypophysaire, Sinus, IRM
Voici les informations spécifiques à l'image clé ci dessus:
- Diagnostic Macroadénome hypophysaire, Localisation(s) Sinus, comportant les gammes Masse intra sinusienne

Macroadénome hypophysaire, Sphenoïde, IRM
Voici les informations spécifiques à l'image clé ci dessus:
- Diagnostic Macroadénome hypophysaire, Localisation(s) Sphenoïde, comportant les gammes Lésion du clivus et du sphénoide

Macroadénome hypophysaire, Espaces profonds de-face, IRM
Voici les informations spécifiques à l'image clé ci dessus:
- Diagnostic Macroadénome hypophysaire, Localisation(s) Espaces profonds de la face, comportant les gammes Lésion de la fosse ptérygo-palatine

Macroadénome hypophysaire, Espaces profonds de-face, IRM
Voici les informations spécifiques à l'image clé ci dessus:
- Diagnostic Macroadénome hypophysaire, Localisation(s) Espaces profonds de la face, comportant les gammes Lésion de la fosse ptérygo-palatine

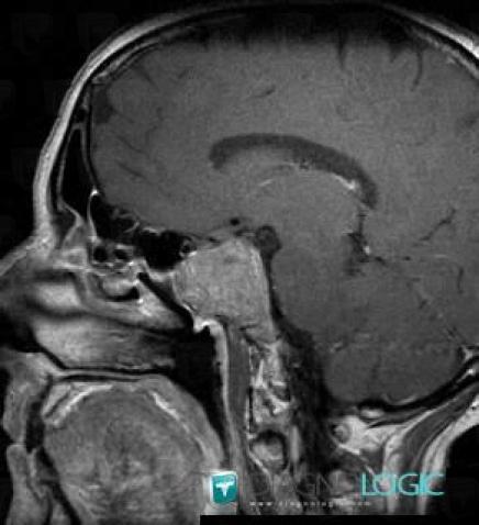
Macroadénome hypophysaire, Sphenoïde, Scanner
Voici les informations spécifiques à l'image clé ci dessus:
- Diagnostic Macroadénome hypophysaire, Localisation(s) Sphenoïde, comportant les gammes Lésion du clivus et du sphénoide

Macroadénome hypophysaire, Sphenoïde, Scanner
Voici les informations spécifiques à l'image clé ci dessus:
- Diagnostic Macroadénome hypophysaire, Localisation(s) Sphenoïde, comportant les gammes Lésion du clivus et du sphénoide

Revenir au dossier patient