Recherche par :

ANATOMIE SÉMIOLOGIE
 

Diagnologic est un site exclusivement destiné aux professionnels de santé. Son utilisation implique l’acceptation des Conditions d'utilisation.

Dossier patient - Images clés

Les images ci-dessous illustrent ce dossier pour les diagnostics Infarctus osseux, pour les modalités (Radio)

Les gammes relatives à ce cas sont les suivantes : :

  • Condensation localisée unique
  • Lacune avec matrice calcifiée

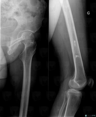
Infarctus osseux, Fémur -inférieur, Radio
Voici les informations spécifiques à l'image clé ci dessus:
- Diagnostic Infarctus osseux, Localisation(s) Fémur - 1/3 inférieur, comportant les gammes Condensation localisée unique, Lacune avec matrice calcifiée

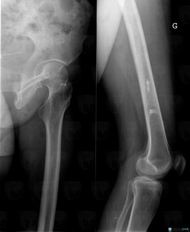
Infarctus osseux, Fémur -inférieur, Radio
Voici les informations spécifiques à l'image clé ci dessus:
- Diagnostic Infarctus osseux, Localisation(s) Fémur - 1/3 inférieur, comportant les gammes Condensation localisée unique

Revenir au dossier patient