Recherche par :

ANATOMIE SÉMIOLOGIE
 

Diagnologic est un site exclusivement destiné aux professionnels de santé. Son utilisation implique l’acceptation des Conditions d'utilisation.

Dossier patient - Images clés

Les images ci-dessous illustrent ce dossier pour les diagnostics Mucoviscidose (lié à Impaction mucoïde), Mucoviscidose (lié à Bronchiolite ), Mucoviscidose, pour les modalités (Scanner ,Radio)

Les gammes relatives à ce cas sont les suivantes : :

  • Maladie prédominant dans les régions supérieures du poumon
  • Sans Gamme
  • Nodules pulmonaires multiples
  • Micronodules centrolobulaires pulmonaires
  • Poumon hyperclair bilatéral

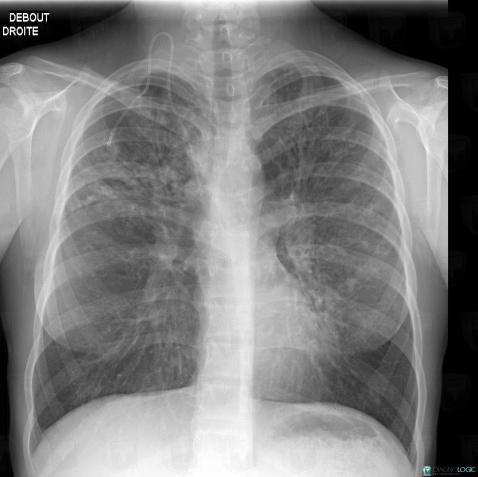
Mucoviscidose, Parenchyme pulmonaire, Voies aériennes, Radio
Voici les informations spécifiques à l'image clé ci dessus:
- Diagnostic Mucoviscidose, Localisation(s) Parenchyme pulmonaire, comportant les gammes Maladie prédominant dans les régions supérieures du poumonVoies aériennes, comportant les gammes

Mucoviscidose, Parenchyme pulmonaire, Scanner
Voici les informations spécifiques à l'image clé ci dessus:
- Diagnostic Mucoviscidose (lié à Impaction mucoïde), Localisation(s) Parenchyme pulmonaire, comportant les gammes Nodules pulmonaires multiples

- Diagnostic Mucoviscidose (lié à Bronchiolite ), Localisation(s) Parenchyme pulmonaire, comportant les gammes Micronodules centrolobulaires pulmonaires

Mucoviscidose, Parenchyme pulmonaire, Scanner
Voici les informations spécifiques à l'image clé ci dessus:
- Diagnostic Mucoviscidose, Localisation(s) Parenchyme pulmonaire, comportant les gammes Maladie prédominant dans les régions supérieures du poumon, Poumon hyperclair bilatéral

Mucoviscidose, Parenchyme pulmonaire, Scanner
Voici les informations spécifiques à l'image clé ci dessus:
- Diagnostic Mucoviscidose, Localisation(s) Parenchyme pulmonaire, comportant les gammes Maladie prédominant dans les régions supérieures du poumon, Poumon hyperclair bilatéral

Mucoviscidose, Parenchyme pulmonaire, Voies aériennes, Radio
Voici les informations spécifiques à l'image clé ci dessus:
- Diagnostic Mucoviscidose, Localisation(s) Parenchyme pulmonaire, comportant les gammes Maladie prédominant dans les régions supérieures du poumonVoies aériennes, comportant les gammes

Mucoviscidose, Parenchyme pulmonaire, Scanner
Voici les informations spécifiques à l'image clé ci dessus:
- Diagnostic Mucoviscidose (lié à Impaction mucoïde), Localisation(s) Parenchyme pulmonaire, comportant les gammes Nodules pulmonaires multiples

- Diagnostic Mucoviscidose (lié à Bronchiolite ), Localisation(s) Parenchyme pulmonaire, comportant les gammes Micronodules centrolobulaires pulmonaires

Revenir au dossier patient