Recherche par :

ANATOMIE SÉMIOLOGIE
 

Diagnologic est un site exclusivement destiné aux professionnels de santé. Son utilisation implique l’acceptation des Conditions d'utilisation.

Dossier patient - Images clés

Les images ci-dessous illustrent ce dossier pour les diagnostics Hypoxie corticale, pour les modalités (Scanner ,IRM)

Les gammes relatives à ce cas sont les suivantes : :

  • Lésion corticale
  • Anomalie gyriforme

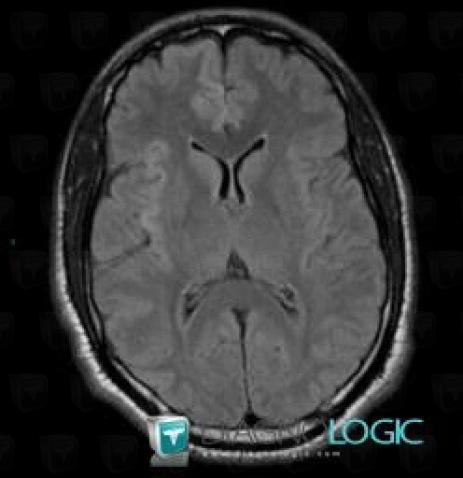
Hypoxie corticale, Région cortico sous corticale, IRM
Voici les informations spécifiques à l'image clé ci dessus:
- Diagnostic Hypoxie corticale, Localisation(s) Région cortico sous corticale, comportant les gammes Lésion corticale, Anomalie gyriforme

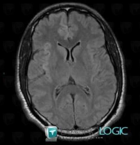
Hypoxie corticale, Région cortico sous corticale, IRM
Voici les informations spécifiques à l'image clé ci dessus:
- Diagnostic Hypoxie corticale, Localisation(s) Région cortico sous corticale, comportant les gammes Lésion corticale, Anomalie gyriforme

Revenir au dossier patient