Recherche par :

ANATOMIE SÉMIOLOGIE
 

Diagnologic est un site exclusivement destiné aux professionnels de santé. Son utilisation implique l’acceptation des Conditions d'utilisation.

Dossier patient - Images clés

Les images ci-dessous illustrent ce dossier pour les diagnostics Fibrothécome , pour les modalités (IRM ,Echographie)

Les gammes relatives à ce cas sont les suivantes : :

  • Masse annexielle solide
  • Masse pelvienne solide
  • Masse annexielle en hyposignal T2

Fibrothécome , Annexe / Ovaire - trompe, Pelvis / Périnée, IRM
Voici les informations spécifiques à l'image clé ci dessus:
- Diagnostic Fibrothécome , Localisation(s) Annexe / Ovaire - trompe, comportant les gammes Masse annexielle solidePelvis / Périnée, comportant les gammes Masse pelvienne solide

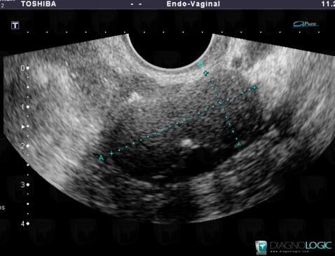
Fibrothécome , Annexe / Ovaire - trompe, Pelvis / Périnée, Echographie
Voici les informations spécifiques à l'image clé ci dessus:
- Diagnostic Fibrothécome , Localisation(s) Annexe / Ovaire - trompe, comportant les gammes Masse annexielle solidePelvis / Périnée, comportant les gammes Masse pelvienne solide

Fibrothécome , Annexe / Ovaire - trompe, IRM
Voici les informations spécifiques à l'image clé ci dessus:
- Diagnostic Fibrothécome , Localisation(s) Annexe / Ovaire - trompe, comportant les gammes Masse annexielle en hyposignal T2

Fibrothécome , Annexe / Ovaire - trompe, IRM
Voici les informations spécifiques à l'image clé ci dessus:
- Diagnostic Fibrothécome , Localisation(s) Annexe / Ovaire - trompe, comportant les gammes Masse annexielle en hyposignal T2

Fibrothécome , Annexe / Ovaire - trompe, Pelvis / Périnée, IRM
Voici les informations spécifiques à l'image clé ci dessus:
- Diagnostic Fibrothécome , Localisation(s) Annexe / Ovaire - trompe, comportant les gammes Masse annexielle solidePelvis / Périnée, comportant les gammes Masse pelvienne solide

Fibrothécome , Annexe / Ovaire - trompe, Pelvis / Périnée, Echographie
Voici les informations spécifiques à l'image clé ci dessus:
- Diagnostic Fibrothécome , Localisation(s) Annexe / Ovaire - trompe, comportant les gammes Masse annexielle solidePelvis / Périnée, comportant les gammes Masse pelvienne solide

Revenir au dossier patient