Recherche par :

ANATOMIE SÉMIOLOGIE
 

Diagnologic est un site exclusivement destiné aux professionnels de santé. Son utilisation implique l’acceptation des Conditions d'utilisation.

Dossier patient - Images clés

Les images ci-dessous illustrent ce dossier pour les diagnostics Emphysème lobaire géant, pour les modalités (Scanner)

Les gammes relatives à ce cas sont les suivantes : :

  • Poumon hyperclair unilatéral
  • Malformation pulmonaire congénitale
  • Lésions kystiques pulmonaires multiples

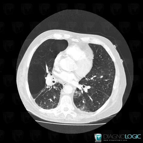
Emphysème lobaire géant, Parenchyme pulmonaire, Scanner
Voici les informations spécifiques à l'image clé ci dessus:
- Diagnostic Emphysème lobaire géant, Localisation(s) Parenchyme pulmonaire, comportant les gammes Poumon hyperclair unilatéral, Malformation pulmonaire congénitale, Lésions kystiques pulmonaires multiples

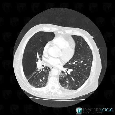
Emphysème lobaire géant, Parenchyme pulmonaire, Scanner
Voici les informations spécifiques à l'image clé ci dessus:
- Diagnostic Emphysème lobaire géant, Localisation(s) Parenchyme pulmonaire, comportant les gammes Poumon hyperclair unilatéral, Malformation pulmonaire congénitale, Lésions kystiques pulmonaires multiples

Revenir au dossier patient