Recherche par :

ANATOMIE SÉMIOLOGIE
 

Diagnologic est un site exclusivement destiné aux professionnels de santé. Son utilisation implique l’acceptation des Conditions d'utilisation.

Dossier patient - Images clés

Les images ci-dessous illustrent ce dossier pour les diagnostics Craniopharyngiome, pour les modalités (IRM)

Les gammes relatives à ce cas sont les suivantes : :

  • Masse de l'angle ponto cérébelleux
  • Lésion extra axiale infra tentorielle
  • Anomalie des citernes de la base
  • Lésion infratentorielle en hypersignal T2 ou FLAIR
  • Lésion en hypersignal T2 sellaire ou parasellaire
  • Masse intracérébrale
  • Lésion intracérébrale en hypersignal T2 ou FLAIR
  • Lésion intracérébrale en hypersignal T1
  • Masse sellaire et parasellaire
  • Lésion en hypersignal T1 sellaire et parasellaire
  • Masse de la ligne médiane
  • Lésion extra axiale supra tentorielle

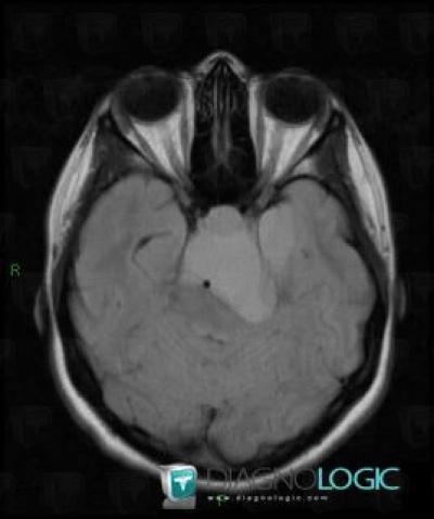
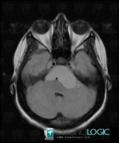
Craniopharyngiome, Angle ponto cérébelleux, IRM
Voici les informations spécifiques à l'image clé ci dessus:
- Diagnostic Craniopharyngiome, Localisation(s) Angle ponto cérébelleux, comportant les gammes Masse de l'angle ponto cérébelleux

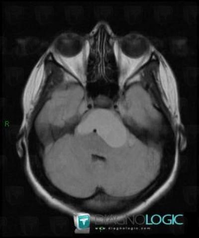
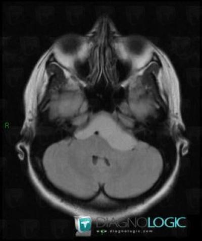
Craniopharyngiome, Espaces peri cérébraux infratentoriels, Fosse postérieure, IRM
Voici les informations spécifiques à l'image clé ci dessus:
- Diagnostic Craniopharyngiome, Localisation(s) Espaces peri cérébraux infratentoriels, comportant les gammes Lésion extra axiale infra tentorielle, Anomalie des citernes de la baseFosse postérieure, comportant les gammes Lésion infratentorielle en hypersignal T2 ou FLAIR

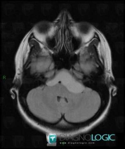
Craniopharyngiome, Hypophyse et région parasellaire, IRM
Voici les informations spécifiques à l'image clé ci dessus:
- Diagnostic Craniopharyngiome, Localisation(s) Hypophyse et région parasellaire, comportant les gammes Lésion en hypersignal T2 sellaire ou parasellaire

Craniopharyngiome, Angle ponto cérébelleux, IRM
Voici les informations spécifiques à l'image clé ci dessus:
- Diagnostic Craniopharyngiome, Localisation(s) Angle ponto cérébelleux, comportant les gammes Masse de l'angle ponto cérébelleux

Craniopharyngiome, Hypophyse et région parasellaire, IRM
Voici les informations spécifiques à l'image clé ci dessus:
- Diagnostic Craniopharyngiome, Localisation(s) Hypophyse et région parasellaire, comportant les gammes Lésion en hypersignal T2 sellaire ou parasellaire

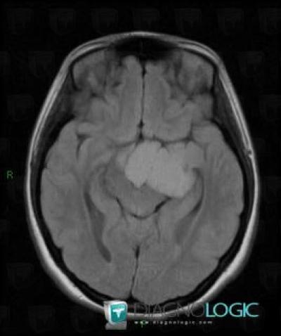
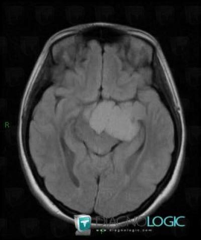
Craniopharyngiome, Hémisphères cérébraux, IRM
Voici les informations spécifiques à l'image clé ci dessus:
- Diagnostic Craniopharyngiome, Localisation(s) Hémisphères cérébraux, comportant les gammes Masse intracérébrale, Lésion intracérébrale en hypersignal T2 ou FLAIR

Craniopharyngiome, Espaces peri cérébraux supratentoriels, Hémisphères cérébraux, IRM
Voici les informations spécifiques à l'image clé ci dessus:
- Diagnostic Craniopharyngiome, Localisation(s) Hémisphères cérébraux, comportant les gammes Lésion intracérébrale en hypersignal T1Hypophyse et région parasellaire, comportant les gammes Masse sellaire et parasellaire, Lésion en hypersignal T1 sellaire et parasellaireFaux du cerveau / Ligne médiane, comportant les gammes Masse de la ligne médianeEspaces peri cérébraux supratentoriels, comportant les gammes Lésion extra axiale supra tentorielle

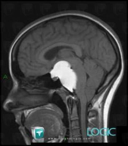
Craniopharyngiome, Hémisphères cérébraux, IRM
Voici les informations spécifiques à l'image clé ci dessus:
- Diagnostic Craniopharyngiome, Localisation(s) Hémisphères cérébraux, comportant les gammes Masse intracérébrale, Lésion intracérébrale en hypersignal T2 ou FLAIR

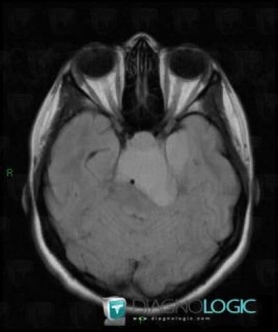
Craniopharyngiome, Espaces peri cérébraux infratentoriels, Fosse postérieure, IRM
Voici les informations spécifiques à l'image clé ci dessus:
- Diagnostic Craniopharyngiome, Localisation(s) Espaces peri cérébraux infratentoriels, comportant les gammes Lésion extra axiale infra tentorielle, Anomalie des citernes de la baseFosse postérieure, comportant les gammes Lésion infratentorielle en hypersignal T2 ou FLAIR

Craniopharyngiome, Espaces peri cérébraux supratentoriels, Hémisphères cérébraux, IRM
Voici les informations spécifiques à l'image clé ci dessus:
- Diagnostic Craniopharyngiome, Localisation(s) Hémisphères cérébraux, comportant les gammes Lésion intracérébrale en hypersignal T1Hypophyse et région parasellaire, comportant les gammes Masse sellaire et parasellaire, Lésion en hypersignal T1 sellaire et parasellaireFaux du cerveau / Ligne médiane, comportant les gammes Masse de la ligne médianeEspaces peri cérébraux supratentoriels, comportant les gammes Lésion extra axiale supra tentorielle

Revenir au dossier patient