Recherche par :

ANATOMIE SÉMIOLOGIE
 

Diagnologic est un site exclusivement destiné aux professionnels de santé. Son utilisation implique l’acceptation des Conditions d'utilisation.

Dossier patient - Images clés

Les images ci-dessous illustrent ce dossier pour les diagnostics Cancer bronchique à petites cellules (lié à Cancer broncho pulmonaire), Métastase, Carcinose méningée, Méningite carcinomateuse, pour les modalités (IRM ,Scanner)

Les gammes relatives à ce cas sont les suivantes : :

  • Sans Gamme
  • Prise de contraste / Elargissement des racines de la queue de cheval
  • Pathologie vertébrale intradurale extramédullaire
  • Réhaussement méningé focal
  • Anomalie des citernes de la base
  • Lésion du tronc cérébral
  • Lésion cérébelleuse
  • Lésion en hypersignal T2 ou FLAIR des noyaux gris centraux
  • Lésion sous corticale
  • Masse pulmonaire à raccordement hilaire
  • Masse pulmonaire unique
  • Condensation alvéolaire chronique

Carcinose méningée, Canal rachidien / Moelle, IRM
Voici les informations spécifiques à l'image clé ci dessus:
- Diagnostic Carcinose méningée, Localisation(s) Canal rachidien / Moelle, comportant les gammes

Carcinose méningée, Canal rachidien / Moelle, IRM
Voici les informations spécifiques à l'image clé ci dessus:
- Diagnostic Carcinose méningée, Localisation(s) Canal rachidien / Moelle, comportant les gammes Prise de contraste / Elargissement des racines de la queue de cheval

Carcinose méningée, Canal rachidien / Moelle, IRM
Voici les informations spécifiques à l'image clé ci dessus:
- Diagnostic Carcinose méningée, Localisation(s) Canal rachidien / Moelle, comportant les gammes

Carcinose méningée, Canal rachidien / Moelle, IRM
Voici les informations spécifiques à l'image clé ci dessus:
- Diagnostic Carcinose méningée, Localisation(s) Canal rachidien / Moelle, comportant les gammes Prise de contraste / Elargissement des racines de la queue de cheval

Métastase, Canal rachidien / Moelle, IRM
Voici les informations spécifiques à l'image clé ci dessus:
- Diagnostic Métastase, Localisation(s) Canal rachidien / Moelle, comportant les gammes Pathologie vertébrale intradurale extramédullaire

Méningite carcinomateuse, Espaces peri cérébraux infratentoriels, IRM
Voici les informations spécifiques à l'image clé ci dessus:
- Diagnostic Méningite carcinomateuse, Localisation(s) Espaces peri cérébraux infratentoriels, comportant les gammes Réhaussement méningé focal, Anomalie des citernes de la base

Métastase, Tronc cérébral, IRM
Voici les informations spécifiques à l'image clé ci dessus:
- Diagnostic Métastase, Localisation(s) Tronc cérébral, comportant les gammes Lésion du tronc cérébral

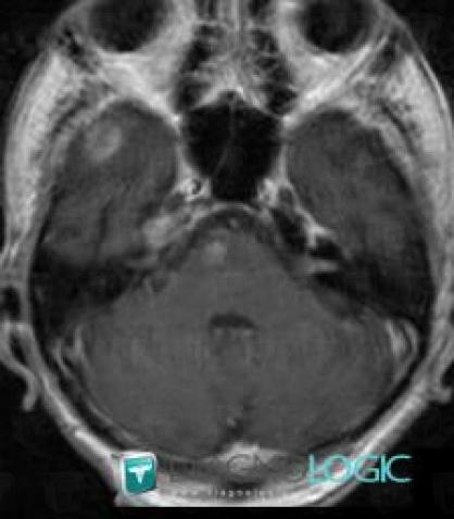
Métastase, Hémisphère cérébelleux, IRM
Voici les informations spécifiques à l'image clé ci dessus:
- Diagnostic Métastase, Localisation(s) Hémisphère cérébelleux, comportant les gammes Lésion cérébelleuse

Métastase, Canal rachidien / Moelle, IRM
Voici les informations spécifiques à l'image clé ci dessus:
- Diagnostic Métastase, Localisation(s) Canal rachidien / Moelle, comportant les gammes Pathologie vertébrale intradurale extramédullaire

Métastase, Tronc cérébral, IRM
Voici les informations spécifiques à l'image clé ci dessus:
- Diagnostic Métastase, Localisation(s) Tronc cérébral, comportant les gammes Lésion du tronc cérébral

Métastase, Hémisphère cérébelleux, IRM
Voici les informations spécifiques à l'image clé ci dessus:
- Diagnostic Métastase, Localisation(s) Hémisphère cérébelleux, comportant les gammes Lésion cérébelleuse

Méningite carcinomateuse, Espaces peri cérébraux infratentoriels, IRM
Voici les informations spécifiques à l'image clé ci dessus:
- Diagnostic Méningite carcinomateuse, Localisation(s) Espaces peri cérébraux infratentoriels, comportant les gammes Réhaussement méningé focal, Anomalie des citernes de la base

Métastase, Noyaux gris centraux et capsule, IRM
Voici les informations spécifiques à l'image clé ci dessus:
- Diagnostic Métastase, Localisation(s) Noyaux gris centraux et capsule, comportant les gammes Lésion en hypersignal T2 ou FLAIR des noyaux gris centraux

Métastase, Région cortico sous corticale, IRM
Voici les informations spécifiques à l'image clé ci dessus:
- Diagnostic Métastase, Localisation(s) Région cortico sous corticale, comportant les gammes Lésion sous corticale

Carcinose méningée, Canal rachidien / Moelle, Scanner
Voici les informations spécifiques à l'image clé ci dessus:
- Diagnostic Carcinose méningée, Localisation(s) Canal rachidien / Moelle, comportant les gammes Prise de contraste / Elargissement des racines de la queue de cheval

Métastase, Noyaux gris centraux et capsule, IRM
Voici les informations spécifiques à l'image clé ci dessus:
- Diagnostic Métastase, Localisation(s) Noyaux gris centraux et capsule, comportant les gammes Lésion en hypersignal T2 ou FLAIR des noyaux gris centraux

Carcinose méningée, Canal rachidien / Moelle, Scanner
Voici les informations spécifiques à l'image clé ci dessus:
- Diagnostic Carcinose méningée, Localisation(s) Canal rachidien / Moelle, comportant les gammes Prise de contraste / Elargissement des racines de la queue de cheval

Métastase, Région cortico sous corticale, IRM
Voici les informations spécifiques à l'image clé ci dessus:
- Diagnostic Métastase, Localisation(s) Région cortico sous corticale, comportant les gammes Lésion sous corticale

Cancer bronchique-petites cellules, Parenchyme pulmonaire, Scanner
Voici les informations spécifiques à l'image clé ci dessus:
- Diagnostic Cancer bronchique à petites cellules (lié à Cancer broncho pulmonaire), Localisation(s) Parenchyme pulmonaire, comportant les gammes Masse pulmonaire à raccordement hilaire, Masse pulmonaire unique, Condensation alvéolaire chronique

Cancer bronchique-petites cellules, Parenchyme pulmonaire, Scanner
Voici les informations spécifiques à l'image clé ci dessus:
- Diagnostic Cancer bronchique à petites cellules (lié à Cancer broncho pulmonaire), Localisation(s) Parenchyme pulmonaire, comportant les gammes Masse pulmonaire à raccordement hilaire, Masse pulmonaire unique, Condensation alvéolaire chronique

Revenir au dossier patient