Recherche par :

ANATOMIE SÉMIOLOGIE
 

Diagnologic est un site exclusivement destiné aux professionnels de santé. Son utilisation implique l’acceptation des Conditions d'utilisation.

Dossier patient - Images clés

Les images ci-dessous illustrent ce dossier pour les diagnostics Ascite , Cancer gastrique, pour les modalités (Scanner)

Les gammes relatives à ce cas sont les suivantes : :

  • Masse ou lacune gastrique
  • Pathologie du péritoine

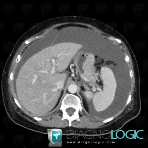
Cancer gastrique, Estomac, Scanner
Voici les informations spécifiques à l'image clé ci dessus:
- Diagnostic Cancer gastrique, Localisation(s) Estomac, comportant les gammes Masse ou lacune gastrique

Ascite , Mésentère / Péritoine, Scanner
Voici les informations spécifiques à l'image clé ci dessus:
- Diagnostic Ascite , Localisation(s) Mésentère / Péritoine, comportant les gammes Pathologie du péritoine

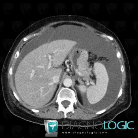
Cancer gastrique, Estomac, Scanner
Voici les informations spécifiques à l'image clé ci dessus:
- Diagnostic Cancer gastrique, Localisation(s) Estomac, comportant les gammes Masse ou lacune gastrique

Ascite , Mésentère / Péritoine, Scanner
Voici les informations spécifiques à l'image clé ci dessus:
- Diagnostic Ascite , Localisation(s) Mésentère / Péritoine, comportant les gammes Pathologie du péritoine

Revenir au dossier patient