Recherche par :

ANATOMIE SÉMIOLOGIE
 

Diagnologic est un site exclusivement destiné aux professionnels de santé. Son utilisation implique l’acceptation des Conditions d'utilisation.

Dossier patient - Images clés

Les images ci-dessous illustrent ce dossier pour les diagnostics Aéromésentérie, Aéroportie, pour les modalités (Scanner)

Les gammes relatives à ce cas sont les suivantes : :

  • Sans Gamme

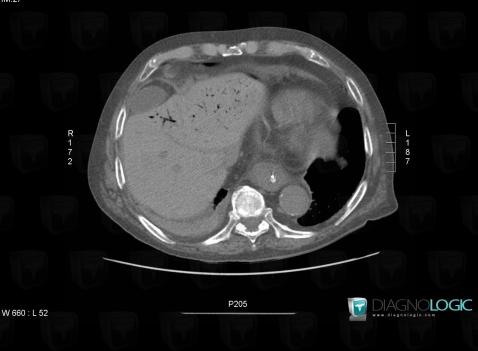
Aéroportie, Foie, Veine porte et ses branches, Scanner
Voici les informations spécifiques à l'image clé ci dessus:
- Diagnostic Aéroportie, Localisation(s) Veine porte et ses branches, comportant les gammes Foie, comportant les gammes

Aéroportie, Foie, Veine porte et ses branches, Scanner
Voici les informations spécifiques à l'image clé ci dessus:
- Diagnostic Aéroportie, Localisation(s) Veine porte et ses branches, comportant les gammes Foie, comportant les gammes

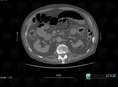
Aéromésentérie, Veine porte et ses branches, Scanner
Voici les informations spécifiques à l'image clé ci dessus:
- Diagnostic Aéromésentérie, Localisation(s) Veine porte et ses branches, comportant les gammes

Aéromésentérie, Veine porte et ses branches, Scanner
Voici les informations spécifiques à l'image clé ci dessus:
- Diagnostic Aéromésentérie, Localisation(s) Veine porte et ses branches, comportant les gammes

Revenir au dossier patient