Search by :

ANATOMY GAMUTS
 

Diagnologic is a website dedicated to health care professionals only. The Use of Diagnologic implies acceptance of the Terms of use.

Patient details - Key images

The images below illustrate this case for diagnoses Small bowel adenocarcinoma, for the modalities (CT)

Gamuts for this case : :

  • Focal thicknening of small bowel wall
  • Marked thicknening of small bowel wall

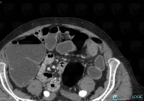
Small bowel adenocarcinoma, Small bowel, CT
Here is the specific information in the key image above:
- Diagnosis Small bowel adenocarcinoma, Location(s) Small bowel, with gamuts Focal thicknening of small bowel wall, Marked thicknening of small bowel wall

Small bowel adenocarcinoma, Small bowel, CT
Here is the specific information in the key image above:
- Diagnosis Small bowel adenocarcinoma, Location(s) Small bowel, with gamuts Focal thicknening of small bowel wall, Marked thicknening of small bowel wall

Return to the patient details