Search by :

ANATOMY GAMUTS
 

Diagnologic is a website dedicated to health care professionals only. The Use of Diagnologic implies acceptance of the Terms of use.

Patient details - Key images

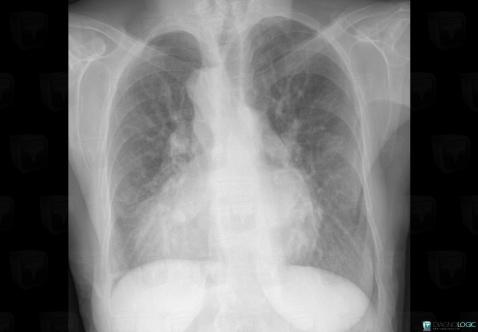
The images below illustrate this case for diagnoses Situs inversus, for the modalities (X rays)

Gamuts for this case : :

  • Without gamut

Situs inversus, Cardiac cavities / Pericardium, X rays
Here is the specific information in the key image above:
- Diagnosis Situs inversus, Location(s) Cardiac cavities / Pericardium, with gamuts

Situs inversus, Cardiac cavities / Pericardium, X rays
Here is the specific information in the key image above:
- Diagnosis Situs inversus, Location(s) Cardiac cavities / Pericardium, with gamuts

Return to the patient details