Search by :

ANATOMY GAMUTS
 

Diagnologic is a website dedicated to health care professionals only. The Use of Diagnologic implies acceptance of the Terms of use.

Patient details - Key images

The images below illustrate this case for diagnoses Rotator cuff tendinopathy / Shoulder, for the modalities (X rays ,US)

Gamuts for this case : :

  • Without gamut

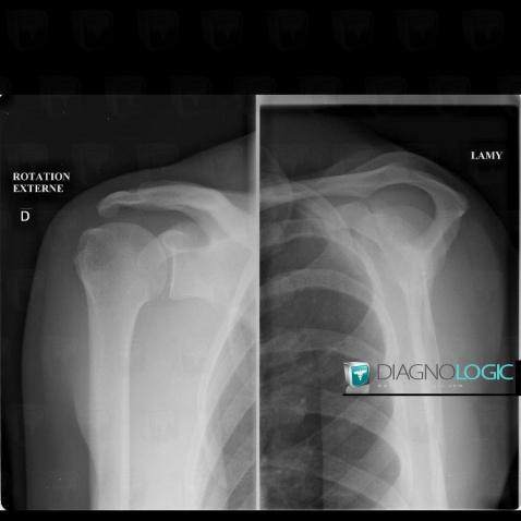
Tendinopathy / Shoulder, Sub scapularis tendon, X rays
Here is the specific information in the key image above:
- Diagnosis Rotator cuff tendinopathy / Shoulder, Location(s) Sub scapularis tendon, with gamuts

Tendinopathy / Shoulder, Sub scapularis tendon, US
Here is the specific information in the key image above:
- Diagnosis Rotator cuff tendinopathy / Shoulder, Location(s) Sub scapularis tendon, with gamuts

Tendinopathy / Shoulder, Sub scapularis tendon, US
Here is the specific information in the key image above:
- Diagnosis Rotator cuff tendinopathy / Shoulder, Location(s) Sub scapularis tendon, with gamuts

Tendinopathy / Shoulder, Sub scapularis tendon, X rays
Here is the specific information in the key image above:
- Diagnosis Rotator cuff tendinopathy / Shoulder, Location(s) Sub scapularis tendon, with gamuts

Return to the patient details