Search by :

ANATOMY GAMUTS
 

Diagnologic is a website dedicated to health care professionals only. The Use of Diagnologic implies acceptance of the Terms of use.

Patient details - Key images

The images below illustrate this case for diagnoses Rectal cancer, for the modalities (CT)

Gamuts for this case : :

  • Rectal lesion
  • Presacral mass

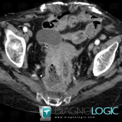
Rectal cancer, Rectum, CT
Here is the specific information in the key image above:
- Diagnosis Rectal cancer, Location(s) Rectum, with gamuts Rectal lesion

Rectal cancer, Rectum, Pelvis / Perineum, CT
Here is the specific information in the key image above:
- Diagnosis Rectal cancer, Location(s) Rectum, with gamuts Presacral massPelvis / Perineum, with gamuts Presacral mass

Rectal cancer, Rectum, CT
Here is the specific information in the key image above:
- Diagnosis Rectal cancer, Location(s) Rectum, with gamuts Rectal lesion

Rectal cancer, Rectum, Pelvis / Perineum, CT
Here is the specific information in the key image above:
- Diagnosis Rectal cancer, Location(s) Rectum, with gamuts Presacral massPelvis / Perineum, with gamuts Presacral mass

Return to the patient details