Search by :

ANATOMY GAMUTS
 

Diagnologic is a website dedicated to health care professionals only. The Use of Diagnologic implies acceptance of the Terms of use.

Patient details - Key images

The images below illustrate this case for diagnoses Pulmonary edema, for the modalities (CT)

Gamuts for this case : :

  • Large symetric area of ground glass opacity

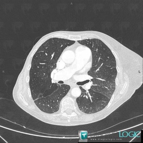
Pulmonary edema, Pulmonary parenchyma, CT
Here is the specific information in the key image above:
- Diagnosis Pulmonary edema, Location(s) Pulmonary parenchyma, with gamuts Large symetric area of ground glass opacity

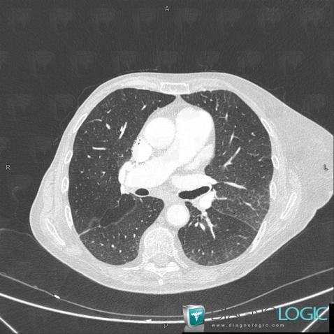
Pulmonary edema, Pulmonary parenchyma, CT
Here is the specific information in the key image above:
- Diagnosis Pulmonary edema, Location(s) Pulmonary parenchyma, with gamuts Large symetric area of ground glass opacity

Return to the patient details