Search by :

ANATOMY GAMUTS
 

Diagnologic is a website dedicated to health care professionals only. The Use of Diagnologic implies acceptance of the Terms of use.

Patient details - Key images

The images below illustrate this case for diagnoses Posttraumatic, Fracture, for the modalities (X rays)

Gamuts for this case : :

  • sclerotic lines in metaphysis
  • Without gamut

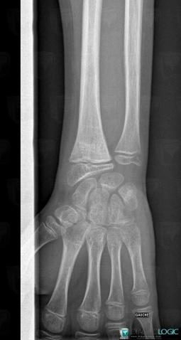
Posttraumatic, Radius - Distal part, X rays
Here is the specific information in the key image above:
- Diagnosis Posttraumatic, Location(s) Radius - Distal part, with gamuts sclerotic lines in metaphysis

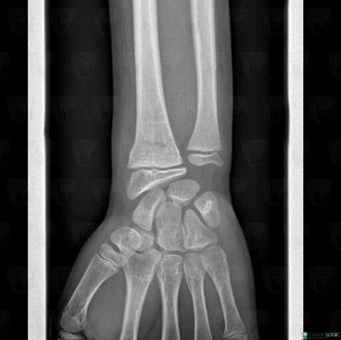
Fracture, Radius - Distal part, X rays
Here is the specific information in the key image above:
- Diagnosis Fracture, Location(s) Radius - Distal part, with gamuts

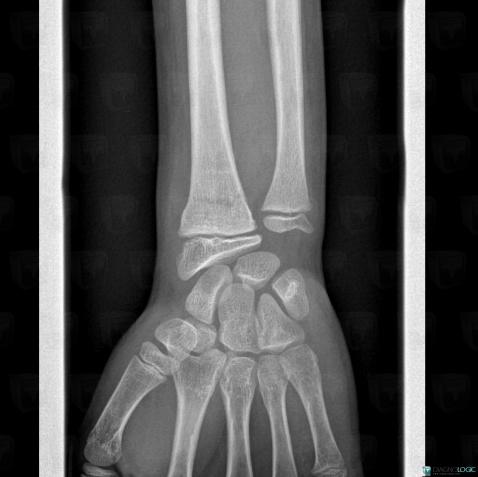
Posttraumatic, Radius - Distal part, X rays
Here is the specific information in the key image above:
- Diagnosis Posttraumatic, Location(s) Radius - Distal part, with gamuts sclerotic lines in metaphysis

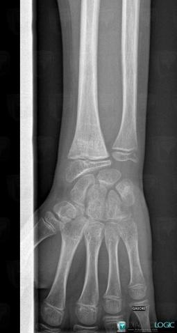
Fracture, Radius - Distal part, X rays
Here is the specific information in the key image above:
- Diagnosis Fracture, Location(s) Radius - Distal part, with gamuts

Return to the patient details