Search by :

ANATOMY GAMUTS
 

Diagnologic is a website dedicated to health care professionals only. The Use of Diagnologic implies acceptance of the Terms of use.

Patient details - Key images

The images below illustrate this case for diagnoses Pneumocystosis, for the modalities (CT)

Gamuts for this case : :

  • Cavitary pulmonary nodule
  • Multiple pulmonary nodule
  • Intracavitary pulmonary nodule / mass
  • Cavitary pulmonary mass
  • Multiple pulmonary masses

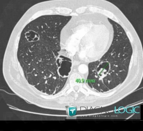
Pneumocystosis, Pulmonary parenchyma, CT
Here is the specific information in the key image above:
- Diagnosis Pneumocystosis, Location(s) Pulmonary parenchyma, with gamuts Cavitary pulmonary nodule, Multiple pulmonary nodule, Intracavitary pulmonary nodule / mass

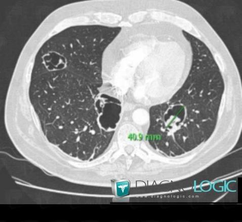
Pneumocystosis, Pulmonary parenchyma, CT
Here is the specific information in the key image above:
- Diagnosis Pneumocystosis, Location(s) Pulmonary parenchyma, with gamuts Cavitary pulmonary mass, Multiple pulmonary masses

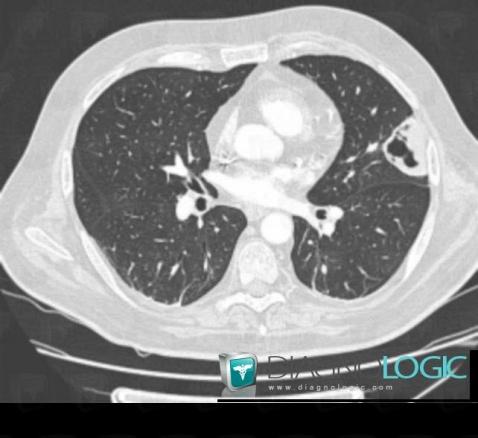
Pneumocystosis, Pulmonary parenchyma, CT
Here is the specific information in the key image above:
- Diagnosis Pneumocystosis, Location(s) Pulmonary parenchyma, with gamuts Cavitary pulmonary nodule, Multiple pulmonary nodule, Intracavitary pulmonary nodule / mass

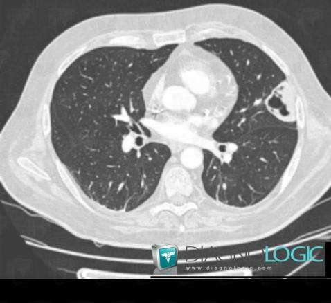
Pneumocystosis, Pulmonary parenchyma, CT
Here is the specific information in the key image above:
- Diagnosis Pneumocystosis, Location(s) Pulmonary parenchyma, with gamuts Cavitary pulmonary mass, Multiple pulmonary masses

Return to the patient details