Search by :

ANATOMY GAMUTS
 

Diagnologic is a website dedicated to health care professionals only. The Use of Diagnologic implies acceptance of the Terms of use.

Patient details - Key images

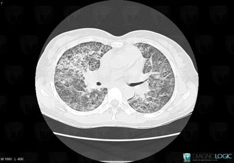
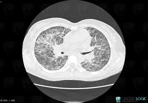
The images below illustrate this case for diagnoses Pneumocystosis, for the modalities (CT)

Gamuts for this case : :

  • Acute consolidation
  • Disseminated consolidation

Pneumocystosis, Pulmonary parenchyma, CT
Here is the specific information in the key image above:
- Diagnosis Pneumocystosis, Location(s) Pulmonary parenchyma, with gamuts Acute consolidation, Disseminated consolidation

Pneumocystosis, Pulmonary parenchyma, CT
Here is the specific information in the key image above:
- Diagnosis Pneumocystosis, Location(s) Pulmonary parenchyma, with gamuts Acute consolidation, Disseminated consolidation

Return to the patient details