Search by :

ANATOMY GAMUTS
 

Diagnologic is a website dedicated to health care professionals only. The Use of Diagnologic implies acceptance of the Terms of use.

Patient details - Key images

The images below illustrate this case for diagnoses Multiple sclerosis, for the modalities (MRI)

Gamuts for this case : :

  • Intramedullary lesion
  • Intracerebral T2W or FLAIR hyperintense lesion
  • White matter disease
  • Multifocal intracranial lesions
  • Multifocal infratentorial lesions
  • Infratentorial T2W or FLAIR hyperintense lesion
  • Cerebellar lesion
  • Infratentorial lesion with moderate enhancement
  • Intracerebral lesion with moderate enhancement

Multiple sclerosis, Spinal canal / Cord, MRI
Here is the specific information in the key image above:
- Diagnosis Multiple sclerosis, Location(s) Spinal canal / Cord, with gamuts Intramedullary lesion

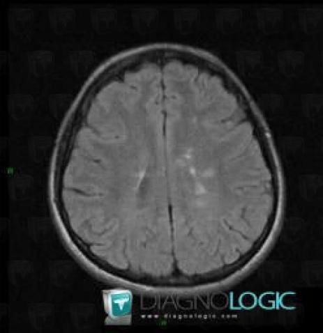
Multiple sclerosis, Cerebral hemispheres, MRI
Here is the specific information in the key image above:
- Diagnosis Multiple sclerosis, Location(s) Cerebral hemispheres, with gamuts Intracerebral T2W or FLAIR hyperintense lesion, White matter disease, Multifocal intracranial lesions

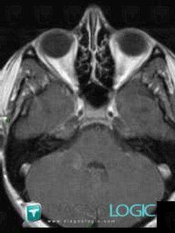
Multiple sclerosis, Posterior fossa, MRI
Here is the specific information in the key image above:
- Diagnosis Multiple sclerosis, Location(s) Posterior fossa, with gamuts Multifocal infratentorial lesions, Infratentorial T2W or FLAIR hyperintense lesion

Multiple sclerosis, Spinal canal / Cord, MRI
Here is the specific information in the key image above:
- Diagnosis Multiple sclerosis, Location(s) Spinal canal / Cord, with gamuts Intramedullary lesion

Multiple sclerosis, Cerebral hemispheres, MRI
Here is the specific information in the key image above:
- Diagnosis Multiple sclerosis, Location(s) Cerebral hemispheres, with gamuts Intracerebral T2W or FLAIR hyperintense lesion, White matter disease, Multifocal intracranial lesions

Multiple sclerosis, Posterior fossa, MRI
Here is the specific information in the key image above:
- Diagnosis Multiple sclerosis, Location(s) Posterior fossa, with gamuts Multifocal infratentorial lesions, Infratentorial T2W or FLAIR hyperintense lesion

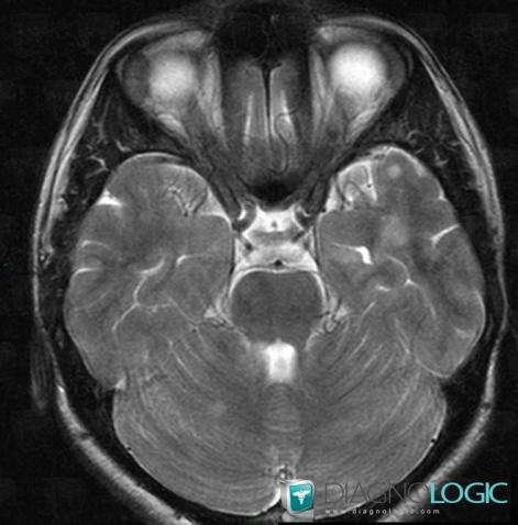
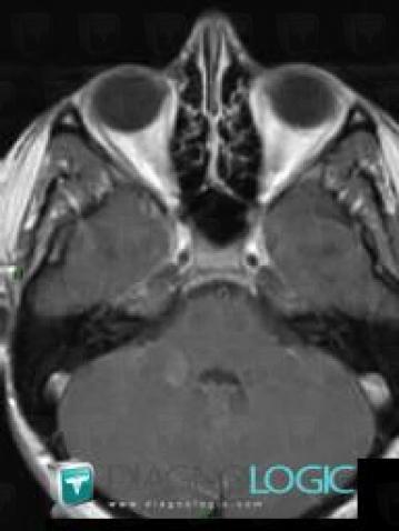
Multiple sclerosis, Cerebellar hemisphere, MRI
Here is the specific information in the key image above:
- Diagnosis Multiple sclerosis, Location(s) Cerebellar hemisphere, with gamuts Cerebellar lesion

Multiple sclerosis, Cerebellar hemisphere, MRI
Here is the specific information in the key image above:
- Diagnosis Multiple sclerosis, Location(s) Cerebellar hemisphere, with gamuts Cerebellar lesion

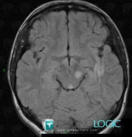
Multiple sclerosis, Posterior fossa, MRI
Here is the specific information in the key image above:
- Diagnosis Multiple sclerosis, Location(s) Posterior fossa, with gamuts Infratentorial lesion with moderate enhancement

Multiple sclerosis, Cerebral hemispheres, MRI
Here is the specific information in the key image above:
- Diagnosis Multiple sclerosis, Location(s) Cerebral hemispheres, with gamuts Intracerebral lesion with moderate enhancement

Multiple sclerosis, Posterior fossa, MRI
Here is the specific information in the key image above:
- Diagnosis Multiple sclerosis, Location(s) Posterior fossa, with gamuts Infratentorial lesion with moderate enhancement

Multiple sclerosis, Cerebral hemispheres, MRI
Here is the specific information in the key image above:
- Diagnosis Multiple sclerosis, Location(s) Cerebral hemispheres, with gamuts Intracerebral lesion with moderate enhancement

Return to the patient details