Search by :

ANATOMY GAMUTS
 

Diagnologic is a website dedicated to health care professionals only. The Use of Diagnologic implies acceptance of the Terms of use.

Patient details - Key images

The images below illustrate this case for diagnoses Multiple sclerosis, for the modalities (MRI)

Gamuts for this case : :

  • White matter disease
  • Multifocal intracranial lesions
  • Intracerebral T2W or FLAIR hyperintense lesion
  • Periventricular anomaly seen in MRI
  • Brainstem lesion
  • Multifocal infratentorial lesions
  • Infratentorial T2W or FLAIR hyperintense lesion
  • Brainstem Hyperintense T2WI or FLAIR lesion

Multiple sclerosis, Cerebral hemispheres, MRI
Here is the specific information in the key image above:
- Diagnosis Multiple sclerosis, Location(s) Cerebral hemispheres, with gamuts White matter disease, Multifocal intracranial lesions, Intracerebral T2W or FLAIR hyperintense lesion

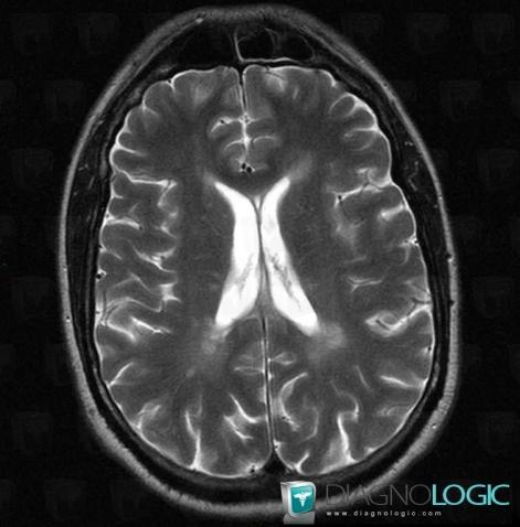
Multiple sclerosis, Ventricles / Periventricular region, MRI
Here is the specific information in the key image above:
- Diagnosis Multiple sclerosis, Location(s) Ventricles / Periventricular region, with gamuts Periventricular anomaly seen in MRI

Multiple sclerosis, Ventricles / Periventricular region, MRI
Here is the specific information in the key image above:
- Diagnosis Multiple sclerosis, Location(s) Ventricles / Periventricular region, with gamuts Periventricular anomaly seen in MRI

Multiple sclerosis, Brainstem, Posterior fossa, MRI
Here is the specific information in the key image above:
- Diagnosis Multiple sclerosis, Location(s) Brainstem, with gamuts Brainstem lesion, Brainstem Hyperintense T2WI or FLAIR lesionPosterior fossa, with gamuts Multifocal infratentorial lesions, Infratentorial T2W or FLAIR hyperintense lesion

Multiple sclerosis, Cerebral hemispheres, MRI
Here is the specific information in the key image above:
- Diagnosis Multiple sclerosis, Location(s) Cerebral hemispheres, with gamuts White matter disease, Multifocal intracranial lesions, Intracerebral T2W or FLAIR hyperintense lesion

Multiple sclerosis, Brainstem, Posterior fossa, MRI
Here is the specific information in the key image above:
- Diagnosis Multiple sclerosis, Location(s) Brainstem, with gamuts Brainstem lesion, Brainstem Hyperintense T2WI or FLAIR lesionPosterior fossa, with gamuts Multifocal infratentorial lesions, Infratentorial T2W or FLAIR hyperintense lesion

Return to the patient details