Search by :

ANATOMY GAMUTS
 

Diagnologic is a website dedicated to health care professionals only. The Use of Diagnologic implies acceptance of the Terms of use.

Patient details - Key images

The images below illustrate this case for diagnoses Multiple sclerosis, Progressive multifocal leukoencephalopathy, for the modalities (MRI)

Gamuts for this case : :

  • Multifocal intracranial lesions
  • White matter disease
  • Intracerebral T2W or FLAIR hyperintense lesion
  • Subcortical lesion

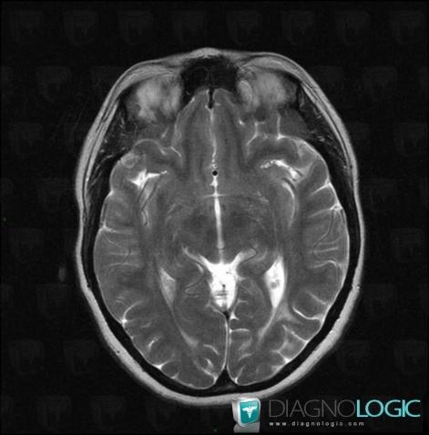
Multiple sclerosis, Cerebral hemispheres, MRI
Here is the specific information in the key image above:
- Diagnosis Multiple sclerosis, Location(s) Cerebral hemispheres, with gamuts Multifocal intracranial lesions, White matter disease, Intracerebral T2W or FLAIR hyperintense lesion

Progressive multifocal leukoencephalopathy, Cortico subcortical region, Cerebral hemispheres, MRI
Here is the specific information in the key image above:
- Diagnosis Progressive multifocal leukoencephalopathy, Location(s) Cerebral hemispheres, with gamuts Intracerebral T2W or FLAIR hyperintense lesion, White matter diseaseCortico subcortical region, with gamuts Subcortical lesion

Multiple sclerosis, Cerebral hemispheres, MRI
Here is the specific information in the key image above:
- Diagnosis Multiple sclerosis, Location(s) Cerebral hemispheres, with gamuts Multifocal intracranial lesions, White matter disease, Intracerebral T2W or FLAIR hyperintense lesion

Progressive multifocal leukoencephalopathy, Cortico subcortical region, Cerebral hemispheres, MRI
Here is the specific information in the key image above:
- Diagnosis Progressive multifocal leukoencephalopathy, Location(s) Cerebral hemispheres, with gamuts Intracerebral T2W or FLAIR hyperintense lesion, White matter diseaseCortico subcortical region, with gamuts Subcortical lesion

Return to the patient details