Search by :

ANATOMY GAMUTS
 

Diagnologic is a website dedicated to health care professionals only. The Use of Diagnologic implies acceptance of the Terms of use.

Patient details - Key images

The images below illustrate this case for diagnoses Multiple myeloma, for the modalities (CT)

Gamuts for this case : :

  • Mulltiple osteolysis
  • Ill-defined osteolysis
  • Osteolytic lesion of ribs
  • Lytic lesion in a vertebra

Multiple myeloma, Scapula, CT
Here is the specific information in the key image above:
- Diagnosis Multiple myeloma, Location(s) Scapula, with gamuts Mulltiple osteolysis, Ill-defined osteolysis

Multiple myeloma, Scapula, CT
Here is the specific information in the key image above:
- Diagnosis Multiple myeloma, Location(s) Scapula, with gamuts Mulltiple osteolysis, Ill-defined osteolysis

Multiple myeloma, Ribs, CT
Here is the specific information in the key image above:
- Diagnosis Multiple myeloma, Location(s) Ribs, with gamuts Osteolytic lesion of ribs

Multiple myeloma, Ribs, CT
Here is the specific information in the key image above:
- Diagnosis Multiple myeloma, Location(s) Ribs, with gamuts Osteolytic lesion of ribs

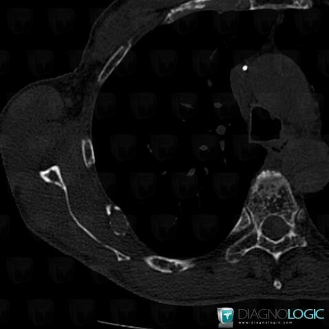
Multiple myeloma, Vertebral body / Disk, CT
Here is the specific information in the key image above:
- Diagnosis Multiple myeloma, Location(s) Vertebral body / Disk, with gamuts Lytic lesion in a vertebra

Multiple myeloma, Vertebral body / Disk, CT
Here is the specific information in the key image above:
- Diagnosis Multiple myeloma, Location(s) Vertebral body / Disk, with gamuts Lytic lesion in a vertebra

Return to the patient details