Search by :

ANATOMY GAMUTS
 

Diagnologic is a website dedicated to health care professionals only. The Use of Diagnologic implies acceptance of the Terms of use.

Patient details - Key images

The images below illustrate this case for diagnoses Minor aplasia, for the modalities (CT)

Gamuts for this case : :

  • Without gamut

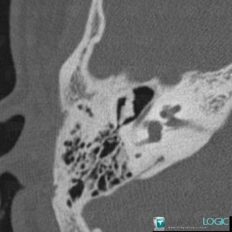
Minor aplasia, Middle ear, CT
Here is the specific information in the key image above:
- Diagnosis Minor aplasia, Location(s) Middle ear, with gamuts

Minor aplasia, Middle ear, CT
Here is the specific information in the key image above:
- Diagnosis Minor aplasia, Location(s) Middle ear, with gamuts

Return to the patient details