Search by :

ANATOMY GAMUTS
 

Diagnologic is a website dedicated to health care professionals only. The Use of Diagnologic implies acceptance of the Terms of use.

Patient details - Key images

The images below illustrate this case for diagnoses Metastasis, for the modalities (CT ,X rays)

Gamuts for this case : :

  • Solitary osteosclerotic bone lesion
  • Epiphyseal osteolysis
  • Ill-defined osteolysis

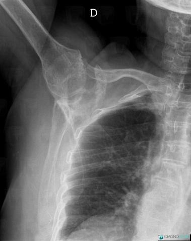
Metastasis, Scapula, X rays
Here is the specific information in the key image above:
- Diagnosis Metastasis, Location(s) Scapula, with gamuts Solitary osteosclerotic bone lesion

Metastasis, Scapula, CT
Here is the specific information in the key image above:
- Diagnosis Metastasis, Location(s) Scapula, with gamuts Solitary osteosclerotic bone lesion

Metastasis, Scapula, CT
Here is the specific information in the key image above:
- Diagnosis Metastasis, Location(s) Scapula, with gamuts Epiphyseal osteolysis, Ill-defined osteolysis

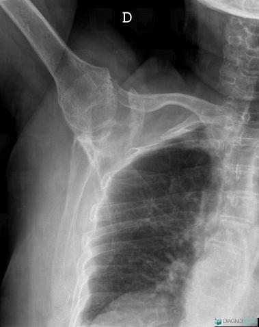
Metastasis, Scapula, X rays
Here is the specific information in the key image above:
- Diagnosis Metastasis, Location(s) Scapula, with gamuts Solitary osteosclerotic bone lesion

Metastasis, Scapula, CT
Here is the specific information in the key image above:
- Diagnosis Metastasis, Location(s) Scapula, with gamuts Solitary osteosclerotic bone lesion

Metastasis, Scapula, CT
Here is the specific information in the key image above:
- Diagnosis Metastasis, Location(s) Scapula, with gamuts Epiphyseal osteolysis, Ill-defined osteolysis

Return to the patient details