Search by :

ANATOMY GAMUTS
 

Diagnologic is a website dedicated to health care professionals only. The Use of Diagnologic implies acceptance of the Terms of use.

Patient details - Key images

The images below illustrate this case for diagnoses Metastasis, Fracture, for the modalities (X rays)

Gamuts for this case : :

  • Ill-defined osteolysis
  • Without gamut
  • Meta-diaphyseal osteolysis

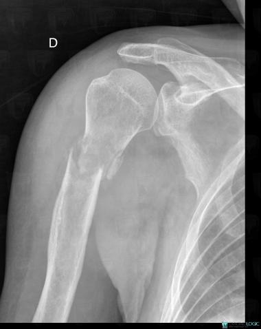
Metastasis, Humerus - Proximal part, X rays
Here is the specific information in the key image above:
- Diagnosis Metastasis, Location(s) Humerus - Proximal part, with gamuts Ill-defined osteolysis, Meta-diaphyseal osteolysis

- Diagnosis Fracture, Location(s) Humerus - Proximal part, with gamuts

Metastasis, Humerus - Proximal part, X rays
Here is the specific information in the key image above:
- Diagnosis Metastasis, Location(s) Humerus - Proximal part, with gamuts Ill-defined osteolysis, Meta-diaphyseal osteolysis

- Diagnosis Fracture, Location(s) Humerus - Proximal part, with gamuts

Return to the patient details