Search by :

ANATOMY GAMUTS
 

Diagnologic is a website dedicated to health care professionals only. The Use of Diagnologic implies acceptance of the Terms of use.

Patient details - Key images

The images below illustrate this case for diagnoses Mesenteric ischemia, Ischemic colitis, Portal venous gas, for the modalities (CT)

Gamuts for this case : :

  • Without gamut
  • Diffuse thicknening of small bowel wall
  • Small bowel dilatation with thickened folds
  • Moderate thicknening of small bowel wall
  • Small bowel fold thickening
  • Thickening of colon wall

Portal venous gas, Portal vein and branches, CT
Here is the specific information in the key image above:
- Diagnosis Portal venous gas, Location(s) Portal vein and branches, with gamuts

Portal venous gas, Liver, Portal vein and branches, CT
Here is the specific information in the key image above:
- Diagnosis Portal venous gas, Location(s) Portal vein and branches, with gamuts Liver, with gamuts

Portal venous gas, Portal vein and branches, CT
Here is the specific information in the key image above:
- Diagnosis Portal venous gas, Location(s) Portal vein and branches, with gamuts

Portal venous gas, Liver, Portal vein and branches, CT
Here is the specific information in the key image above:
- Diagnosis Portal venous gas, Location(s) Portal vein and branches, with gamuts Liver, with gamuts

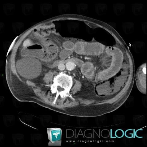
Mesenteric ischemia, Small bowel, CT
Here is the specific information in the key image above:
- Diagnosis Mesenteric ischemia, Location(s) Small bowel, with gamuts Diffuse thicknening of small bowel wall, Small bowel dilatation with thickened folds, Moderate thicknening of small bowel wall, Small bowel fold thickening

Ischemic colitis, Colon, CT
Here is the specific information in the key image above:
- Diagnosis Ischemic colitis, Location(s) Colon, with gamuts

Ischemic colitis, Colon, CT
Here is the specific information in the key image above:
- Diagnosis Ischemic colitis, Location(s) Colon, with gamuts Thickening of colon wall

Ischemic colitis, Colon, CT
Here is the specific information in the key image above:
- Diagnosis Ischemic colitis, Location(s) Colon, with gamuts

Ischemic colitis, Colon, CT
Here is the specific information in the key image above:
- Diagnosis Ischemic colitis, Location(s) Colon, with gamuts Thickening of colon wall

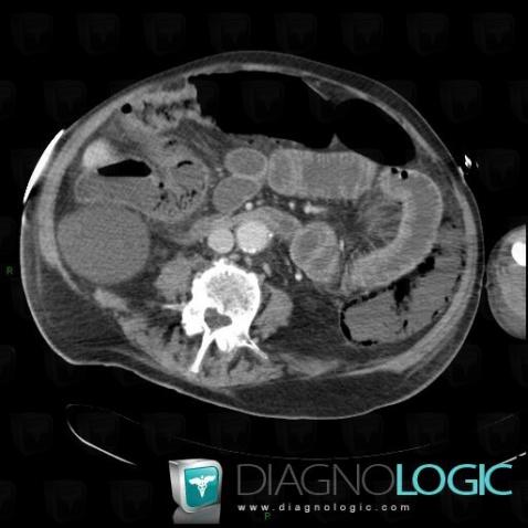
Mesenteric ischemia, Small bowel, CT
Here is the specific information in the key image above:
- Diagnosis Mesenteric ischemia, Location(s) Small bowel, with gamuts Diffuse thicknening of small bowel wall, Small bowel dilatation with thickened folds, Moderate thicknening of small bowel wall, Small bowel fold thickening

Return to the patient details