Search by :

ANATOMY GAMUTS
 

Diagnologic is a website dedicated to health care professionals only. The Use of Diagnologic implies acceptance of the Terms of use.

Patient details - Key images

The images below illustrate this case for diagnoses Meningioma, for the modalities (MRI)

Gamuts for this case : :

  • Cavernous sinus lesion
  • Sellar and parasellar mass

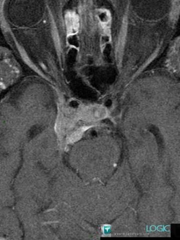
Meningioma, Pituitary gland and parasellar region, MRI
Here is the specific information in the key image above:
- Diagnosis Meningioma, Location(s) Pituitary gland and parasellar region, with gamuts Cavernous sinus lesion, Sellar and parasellar mass

Meningioma, Pituitary gland and parasellar region, MRI
Here is the specific information in the key image above:
- Diagnosis Meningioma, Location(s) Pituitary gland and parasellar region, with gamuts Cavernous sinus lesion, Sellar and parasellar mass

Return to the patient details