Search by :

ANATOMY GAMUTS
 

Diagnologic is a website dedicated to health care professionals only. The Use of Diagnologic implies acceptance of the Terms of use.

Patient details - Key images

The images below illustrate this case for diagnoses Intrauterine device, for the modalities (US ,CT)

Gamuts for this case : :

  • Without gamut

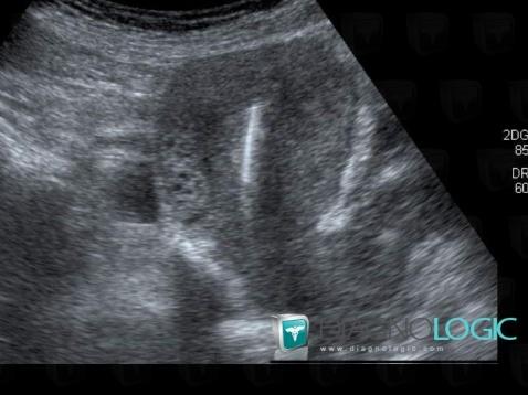
Intrauterine device, Uterus, US
Here is the specific information in the key image above:
- Diagnosis Intrauterine device, Location(s) Uterus, with gamuts

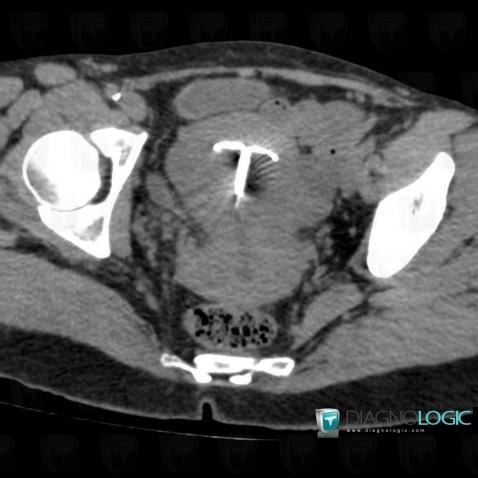
Intrauterine device, Uterus, CT
Here is the specific information in the key image above:
- Diagnosis Intrauterine device, Location(s) Uterus, with gamuts

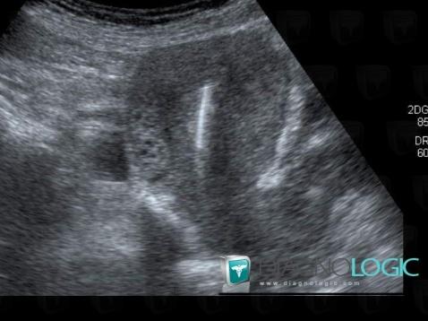
Intrauterine device, Uterus, US
Here is the specific information in the key image above:
- Diagnosis Intrauterine device, Location(s) Uterus, with gamuts

Intrauterine device, Uterus, CT
Here is the specific information in the key image above:
- Diagnosis Intrauterine device, Location(s) Uterus, with gamuts

Return to the patient details