Search by :

ANATOMY GAMUTS
 

Diagnologic is a website dedicated to health care professionals only. The Use of Diagnologic implies acceptance of the Terms of use.

Patient details - Key images

The images below illustrate this case for diagnoses Hemophilia, Hematoma, for the modalities (US ,MRI ,CT)

Gamuts for this case : :

  • Without gamut
  • T1 WI Hyperintense soft tissue lesion
  • Soft tissue mass with calcification
  • Cortical thickening
  • Hypointense T2 WI soft tissue lesion

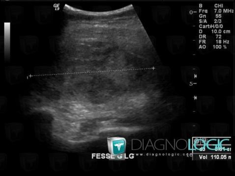
Hematoma, Pelvic Muscles, Other soft tissues/nerves - Pelvis, US
Here is the specific information in the key image above:
- Diagnosis Hematoma, Location(s) Other soft tissues/nerves - Pelvis, with gamuts Pelvic Muscles, with gamuts

Hematoma, Pelvic Muscles, Other soft tissues/nerves - Pelvis, MRI
Here is the specific information in the key image above:
- Diagnosis Hematoma, Location(s) Pelvic Muscles, with gamuts T1 WI Hyperintense soft tissue lesionOther soft tissues/nerves - Pelvis, with gamuts T1 WI Hyperintense soft tissue lesion

Hematoma, Other soft tissues/nerves - Pelvis, CT
Here is the specific information in the key image above:
- Diagnosis Hematoma, Location(s) Other soft tissues/nerves - Pelvis, with gamuts Soft tissue mass with calcification

Hematoma, Other soft tissues/nerves - Pelvis, CT
Here is the specific information in the key image above:
- Diagnosis Hematoma, Location(s) Other soft tissues/nerves - Pelvis, with gamuts Soft tissue mass with calcification

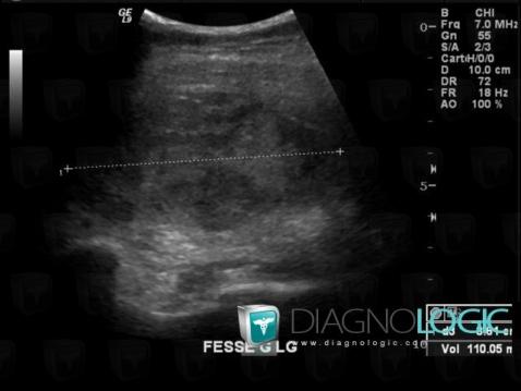
Hematoma, Pelvic Muscles, Other soft tissues/nerves - Pelvis, US
Here is the specific information in the key image above:
- Diagnosis Hematoma, Location(s) Other soft tissues/nerves - Pelvis, with gamuts Pelvic Muscles, with gamuts

Hemophilia, Femur - Proximal part, Femur - Mid part, CT
Here is the specific information in the key image above:
- Diagnosis Hemophilia, Location(s) Femur - Mid part, with gamuts Cortical thickeningFemur - Proximal part, with gamuts Cortical thickening

Hematoma, Pelvic Muscles, Other soft tissues/nerves - Pelvis, MRI
Here is the specific information in the key image above:
- Diagnosis Hematoma, Location(s) Pelvic Muscles, with gamuts T1 WI Hyperintense soft tissue lesionOther soft tissues/nerves - Pelvis, with gamuts T1 WI Hyperintense soft tissue lesion

Hemophilia, Femur - Proximal part, Femur - Mid part, CT
Here is the specific information in the key image above:
- Diagnosis Hemophilia, Location(s) Femur - Mid part, with gamuts Cortical thickeningFemur - Proximal part, with gamuts Cortical thickening

Hemophilia, Femorotibial joints - Intercondylar notch, CT
Here is the specific information in the key image above:
- Diagnosis Hemophilia, Location(s) Femorotibial joints - Intercondylar notch, with gamuts

Hemophilia, Femorotibial joints - Intercondylar notch, CT
Here is the specific information in the key image above:
- Diagnosis Hemophilia, Location(s) Femorotibial joints - Intercondylar notch, with gamuts

Hematoma, Pelvic Muscles, Other soft tissues/nerves - Pelvis, MRI
Here is the specific information in the key image above:
- Diagnosis Hematoma, Location(s) Other soft tissues/nerves - Pelvis, with gamuts Hypointense T2 WI soft tissue lesionPelvic Muscles, with gamuts Hypointense T2 WI soft tissue lesion

Hematoma, Pelvic Muscles, Other soft tissues/nerves - Pelvis, MRI
Here is the specific information in the key image above:
- Diagnosis Hematoma, Location(s) Other soft tissues/nerves - Pelvis, with gamuts Hypointense T2 WI soft tissue lesionPelvic Muscles, with gamuts Hypointense T2 WI soft tissue lesion

Return to the patient details