Search by :

ANATOMY GAMUTS
 

Diagnologic is a website dedicated to health care professionals only. The Use of Diagnologic implies acceptance of the Terms of use.

Patient details - Key images

The images below illustrate this case for diagnoses Gaucher disease, Avascular necrosis, Bone infarct, for the modalities (CT ,MRI ,X rays)

Gamuts for this case : :

  • Mulltiple osteolysis
  • Multiple osteosclerotic bone lesions
  • Ill-defined osteolysis
  • Diaphyseal osteolysis
  • Osteolytic lesion of calcaneus
  • T1 WI Hyperintense bone lesion
  • Lucent lesion in foot
  • Well-defined osteolysis
  • Epiphyseal osteolysis
  • T2 WI Hypointense bone lesion

Bone infarct, Tibia - Distal part, CT
Here is the specific information in the key image above:
- Diagnosis Bone infarct, Location(s) Tibia - Distal part, with gamuts Mulltiple osteolysis, Multiple osteosclerotic bone lesions

Avascular necrosis, Tibia - Distal part, CT
Here is the specific information in the key image above:
- Diagnosis Avascular necrosis, Location(s) Tibia - Distal part, with gamuts Ill-defined osteolysis

- Diagnosis Bone infarct, Location(s) Tibia - Mid part, with gamuts Mulltiple osteolysis, Diaphyseal osteolysis

Bone infarct, Tibia - Distal part, CT
Here is the specific information in the key image above:
- Diagnosis Bone infarct, Location(s) Tibia - Distal part, with gamuts Mulltiple osteolysis, Multiple osteosclerotic bone lesions

Avascular necrosis, Tibia - Distal part, CT
Here is the specific information in the key image above:
- Diagnosis Avascular necrosis, Location(s) Tibia - Distal part, with gamuts Ill-defined osteolysis

- Diagnosis Bone infarct, Location(s) Tibia - Mid part, with gamuts Mulltiple osteolysis, Diaphyseal osteolysis

Avascular necrosis, Calcaneus, MRI
Here is the specific information in the key image above:
- Diagnosis Avascular necrosis, Location(s) Calcaneus, with gamuts Osteolytic lesion of calcaneus, T1 WI Hyperintense bone lesion, Lucent lesion in foot

Avascular necrosis, Talus, MRI
Here is the specific information in the key image above:
- Diagnosis Avascular necrosis, Location(s) Talus, with gamuts Lucent lesion in foot

Avascular necrosis, Talus, MRI
Here is the specific information in the key image above:
- Diagnosis Avascular necrosis, Location(s) Talus, with gamuts Lucent lesion in foot

Avascular necrosis, Tibia - Distal part, MRI
Here is the specific information in the key image above:
- Diagnosis Avascular necrosis, Location(s) Tibia - Distal part, with gamuts Well-defined osteolysis, Epiphyseal osteolysis

- Diagnosis Gaucher disease, Location(s) Tibia - Distal part, with gamuts Mulltiple osteolysis

Avascular necrosis, Calcaneus, MRI
Here is the specific information in the key image above:
- Diagnosis Avascular necrosis, Location(s) Calcaneus, with gamuts Osteolytic lesion of calcaneus, T1 WI Hyperintense bone lesion, Lucent lesion in foot

Avascular necrosis, Tibia - Distal part, MRI
Here is the specific information in the key image above:
- Diagnosis Avascular necrosis, Location(s) Tibia - Distal part, with gamuts Well-defined osteolysis, Epiphyseal osteolysis

- Diagnosis Gaucher disease, Location(s) Tibia - Distal part, with gamuts Mulltiple osteolysis

Avascular necrosis, Talus, MRI
Here is the specific information in the key image above:
- Diagnosis Avascular necrosis, Location(s) Talus, with gamuts T2 WI Hypointense bone lesion

Avascular necrosis, Talus, MRI
Here is the specific information in the key image above:
- Diagnosis Avascular necrosis, Location(s) Talus, with gamuts T2 WI Hypointense bone lesion

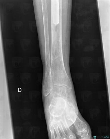
Avascular necrosis, Tibia - Distal part, X rays
Here is the specific information in the key image above:
- Diagnosis Avascular necrosis, Location(s) Tibia - Distal part, with gamuts Well-defined osteolysis

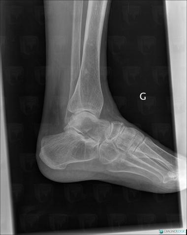
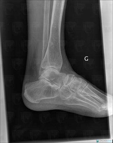
Avascular necrosis, Talus, Calcaneus, X rays
Here is the specific information in the key image above:
- Diagnosis Avascular necrosis, Location(s) Calcaneus, with gamuts Lucent lesion in footTalus, with gamuts Lucent lesion in foot

Avascular necrosis, Tibia - Distal part, X rays
Here is the specific information in the key image above:
- Diagnosis Avascular necrosis, Location(s) Tibia - Distal part, with gamuts Well-defined osteolysis

Avascular necrosis, Talus, Calcaneus, X rays
Here is the specific information in the key image above:
- Diagnosis Avascular necrosis, Location(s) Calcaneus, with gamuts Lucent lesion in footTalus, with gamuts Lucent lesion in foot

Avascular necrosis, Tibia - Distal part, Calcaneus, CT
Here is the specific information in the key image above:
- Diagnosis Gaucher disease, Location(s) Tibia - Distal part, with gamuts Mulltiple osteolysis

- Diagnosis Avascular necrosis, Location(s) Calcaneus, with gamuts Lucent lesion in foot, Osteolytic lesion of calcaneusTibia - Distal part, with gamuts Well-defined osteolysis

Avascular necrosis, Talus, CT
Here is the specific information in the key image above:
- Diagnosis Avascular necrosis, Location(s) Talus, with gamuts Lucent lesion in foot

Avascular necrosis, Talus, CT
Here is the specific information in the key image above:
- Diagnosis Avascular necrosis, Location(s) Talus, with gamuts Lucent lesion in foot

Avascular necrosis, Tibia - Distal part, Calcaneus, CT
Here is the specific information in the key image above:
- Diagnosis Gaucher disease, Location(s) Tibia - Distal part, with gamuts Mulltiple osteolysis

- Diagnosis Avascular necrosis, Location(s) Calcaneus, with gamuts Lucent lesion in foot, Osteolytic lesion of calcaneusTibia - Distal part, with gamuts Well-defined osteolysis

Return to the patient details