Search by :

ANATOMY GAMUTS
 

Diagnologic is a website dedicated to health care professionals only. The Use of Diagnologic implies acceptance of the Terms of use.

Patient details - Key images

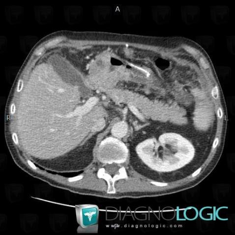
The images below illustrate this case for diagnoses Gastric carcinoma, for the modalities (CT)

Gamuts for this case : :

  • Gastric mass or filling defect

Gastric carcinoma, Stomach, CT
Here is the specific information in the key image above:
- Diagnosis Gastric carcinoma, Location(s) Stomach, with gamuts Gastric mass or filling defect

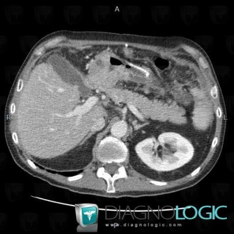
Gastric carcinoma, Stomach, CT
Here is the specific information in the key image above:
- Diagnosis Gastric carcinoma, Location(s) Stomach, with gamuts Gastric mass or filling defect

Return to the patient details