Search by :

ANATOMY GAMUTS
 

Diagnologic is a website dedicated to health care professionals only. The Use of Diagnologic implies acceptance of the Terms of use.

Patient details - Key images

The images below illustrate this case for diagnoses Gartner duct cyst, for the modalities (MRI)

Gamuts for this case : :

  • Vaginal lesion

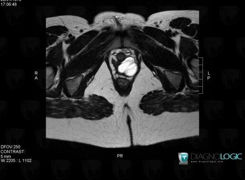
Gartner duct cyst, Vagina, MRI
Here is the specific information in the key image above:
- Diagnosis Gartner duct cyst, Location(s) Vagina, with gamuts Vaginal lesion

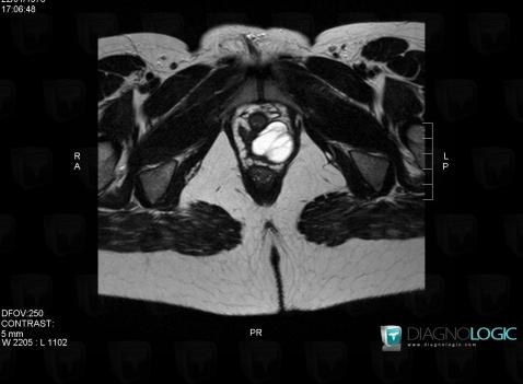
Gartner duct cyst, Vagina, MRI
Here is the specific information in the key image above:
- Diagnosis Gartner duct cyst, Location(s) Vagina, with gamuts Vaginal lesion

Return to the patient details