Search by :

ANATOMY GAMUTS
 

Diagnologic is a website dedicated to health care professionals only. The Use of Diagnologic implies acceptance of the Terms of use.

Patient details - Key images

The images below illustrate this case for diagnoses Gangliocytoma, for the modalities (MRI)

Gamuts for this case : :

  • Infratentorial cystic lesion
  • Infratentorial T2W or FLAIR hyperintense lesion
  • Infratentorial lesion with intense enhancement
  • Cerebellar lesion

Gangliocytoma, Posterior fossa, MRI
Here is the specific information in the key image above:
- Diagnosis Gangliocytoma, Location(s) Posterior fossa, with gamuts Infratentorial cystic lesion, Infratentorial T2W or FLAIR hyperintense lesion

Gangliocytoma, Posterior fossa, MRI
Here is the specific information in the key image above:
- Diagnosis Gangliocytoma, Location(s) Posterior fossa, with gamuts Infratentorial cystic lesion, Infratentorial T2W or FLAIR hyperintense lesion

Gangliocytoma, Cerebellar hemisphere, Posterior fossa, MRI
Here is the specific information in the key image above:
- Diagnosis Gangliocytoma, Location(s) Posterior fossa, with gamuts Infratentorial lesion with intense enhancementCerebellar hemisphere, with gamuts Cerebellar lesion

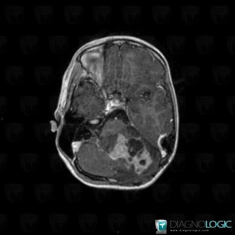
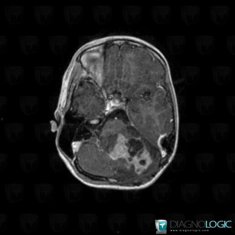
Gangliocytoma, Cerebellar hemisphere, Posterior fossa, MRI
Here is the specific information in the key image above:
- Diagnosis Gangliocytoma, Location(s) Posterior fossa, with gamuts Infratentorial lesion with intense enhancementCerebellar hemisphere, with gamuts Cerebellar lesion

Return to the patient details