Search by :

ANATOMY GAMUTS
 

Diagnologic is a website dedicated to health care professionals only. The Use of Diagnologic implies acceptance of the Terms of use.

Patient details - Key images

The images below illustrate this case for diagnoses Fracture, for the modalities (X rays)

Gamuts for this case : :

  • Without gamut

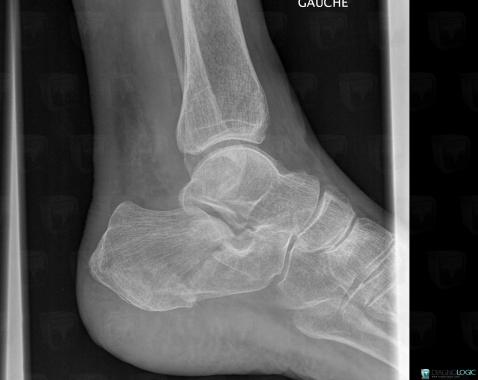
Fracture, Calcaneus, X rays
Here is the specific information in the key image above:
- Diagnosis Fracture, Location(s) Calcaneus, with gamuts

Fracture, Calcaneus, X rays
Here is the specific information in the key image above:
- Diagnosis Fracture, Location(s) Calcaneus, with gamuts

Fracture, Calcaneus, X rays
Here is the specific information in the key image above:
- Diagnosis Fracture, Location(s) Calcaneus, with gamuts

Fracture, Calcaneus, X rays
Here is the specific information in the key image above:
- Diagnosis Fracture, Location(s) Calcaneus, with gamuts

Return to the patient details