Search by :

ANATOMY GAMUTS
 

Diagnologic is a website dedicated to health care professionals only. The Use of Diagnologic implies acceptance of the Terms of use.

Patient details - Key images

The images below illustrate this case for diagnoses Fibrous cortical defect, for the modalities (X rays)

Gamuts for this case : :

  • Well-defined osteolysis
  • Cortical osteolysis
  • Endosteal scalloping
  • Meta-diaphyseal osteolysis

Fibrous cortical defect, Tibia - Distal part, X rays
Here is the specific information in the key image above:
- Diagnosis Fibrous cortical defect, Location(s) Tibia - Distal part, with gamuts Well-defined osteolysis

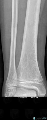
Fibrous cortical defect, Tibia - Distal part, X rays
Here is the specific information in the key image above:
- Diagnosis Fibrous cortical defect, Location(s) Tibia - Distal part, with gamuts Cortical osteolysis, Endosteal scalloping, Meta-diaphyseal osteolysis

Fibrous cortical defect, Tibia - Distal part, X rays
Here is the specific information in the key image above:
- Diagnosis Fibrous cortical defect, Location(s) Tibia - Distal part, with gamuts Well-defined osteolysis

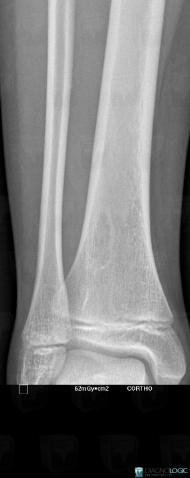
Fibrous cortical defect, Tibia - Distal part, X rays
Here is the specific information in the key image above:
- Diagnosis Fibrous cortical defect, Location(s) Tibia - Distal part, with gamuts Cortical osteolysis, Endosteal scalloping, Meta-diaphyseal osteolysis

Return to the patient details