Search by :

ANATOMY GAMUTS
 

Diagnologic is a website dedicated to health care professionals only. The Use of Diagnologic implies acceptance of the Terms of use.

Patient details - Key images

The images below illustrate this case for diagnoses Ewing sarcoma, for the modalities (CT ,X rays)

Gamuts for this case : :

  • Localised periosteal reaction
  • Asymmetric periosteal reaction
  • Ill-defined osteolysis
  • Diaphyseal osteolysis
  • Without gamut

Ewing sarcoma, Femur - Mid part, CT
Here is the specific information in the key image above:
- Diagnosis Ewing sarcoma, Location(s) Femur - Mid part, with gamuts Localised periosteal reaction, Asymmetric periosteal reaction

Ewing sarcoma, Femur - Mid part, CT
Here is the specific information in the key image above:
- Diagnosis Ewing sarcoma, Location(s) Femur - Mid part, with gamuts Ill-defined osteolysis, Diaphyseal osteolysis

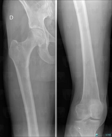
Ewing sarcoma, Femur - Mid part, X rays
Here is the specific information in the key image above:
- Diagnosis Ewing sarcoma, Location(s) Femur - Mid part, with gamuts

Ewing sarcoma, Femur - Mid part, CT
Here is the specific information in the key image above:
- Diagnosis Ewing sarcoma, Location(s) Femur - Mid part, with gamuts Localised periosteal reaction, Asymmetric periosteal reaction

Ewing sarcoma, Femur - Mid part, CT
Here is the specific information in the key image above:
- Diagnosis Ewing sarcoma, Location(s) Femur - Mid part, with gamuts Ill-defined osteolysis, Diaphyseal osteolysis

Ewing sarcoma, Femur - Mid part, X rays
Here is the specific information in the key image above:
- Diagnosis Ewing sarcoma, Location(s) Femur - Mid part, with gamuts

Return to the patient details