Search by :

ANATOMY GAMUTS
 

Diagnologic is a website dedicated to health care professionals only. The Use of Diagnologic implies acceptance of the Terms of use.

Patient details - Key images

The images below illustrate this case for diagnoses Centrilobular emphysema (link to Emphysema), COPD, for the modalities (CT ,X rays)

Gamuts for this case : :

  • Multiple cystic lung lesions
  • Without gamut

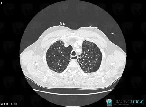
Centrilobular emphysema, Pulmonary parenchyma, CT
Here is the specific information in the key image above:
- Diagnosis Centrilobular emphysema (link to Emphysema), Location(s) Pulmonary parenchyma, with gamuts Multiple cystic lung lesions

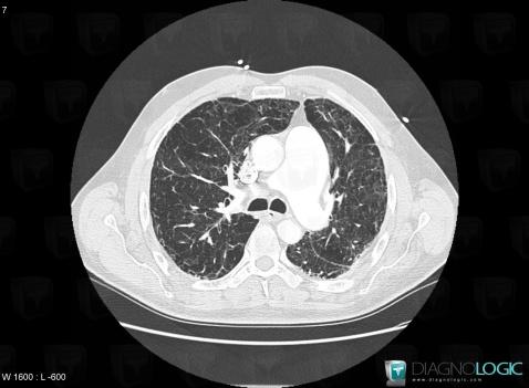
COPD, Pulmonary parenchyma, CT
Here is the specific information in the key image above:
- Diagnosis COPD, Location(s) Pulmonary parenchyma, with gamuts

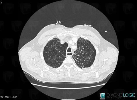
Centrilobular emphysema, Pulmonary parenchyma, CT
Here is the specific information in the key image above:
- Diagnosis Centrilobular emphysema (link to Emphysema), Location(s) Pulmonary parenchyma, with gamuts Multiple cystic lung lesions

COPD, Pulmonary parenchyma, CT
Here is the specific information in the key image above:
- Diagnosis COPD, Location(s) Pulmonary parenchyma, with gamuts

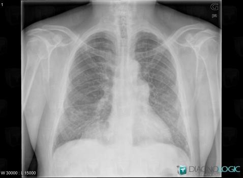
COPD, Pulmonary parenchyma, X rays
Here is the specific information in the key image above:
- Diagnosis COPD, Location(s) Pulmonary parenchyma, with gamuts

COPD, Pulmonary parenchyma, X rays
Here is the specific information in the key image above:
- Diagnosis COPD, Location(s) Pulmonary parenchyma, with gamuts

Return to the patient details