Search by :

ANATOMY GAMUTS
 

Diagnologic is a website dedicated to health care professionals only. The Use of Diagnologic implies acceptance of the Terms of use.

Patient details - Key images

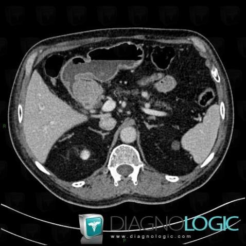
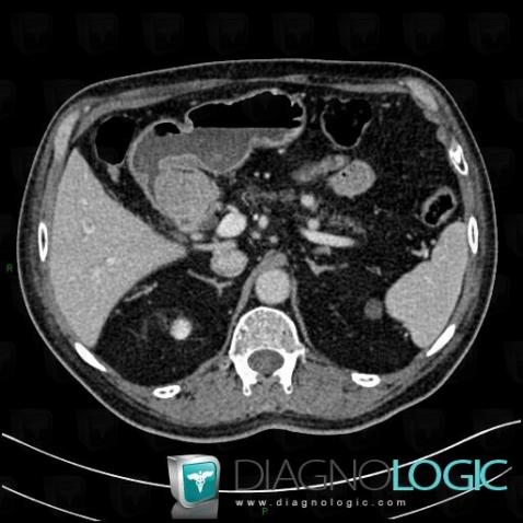
The images below illustrate this case for diagnoses Duodenal adenocarcinoma, for the modalities (CT)

Gamuts for this case : :

  • Duodenal mass or filling defect

Duodenal adenocarcinoma, Duodenum, CT
Here is the specific information in the key image above:
- Diagnosis Duodenal adenocarcinoma, Location(s) Duodenum, with gamuts Duodenal mass or filling defect

Duodenal adenocarcinoma, Duodenum, CT
Here is the specific information in the key image above:
- Diagnosis Duodenal adenocarcinoma, Location(s) Duodenum, with gamuts Duodenal mass or filling defect

Return to the patient details