Search by :

ANATOMY GAMUTS
 

Diagnologic is a website dedicated to health care professionals only. The Use of Diagnologic implies acceptance of the Terms of use.

Patient details - Key images

The images below illustrate this case for diagnoses Hiatal hernia (link to Diaphragmatic hernia), Hiatal hernia, for the modalities (X rays ,CT)

Gamuts for this case : :

  • Unilateral elevated diaphragm
  • Posterior mediastinal mass

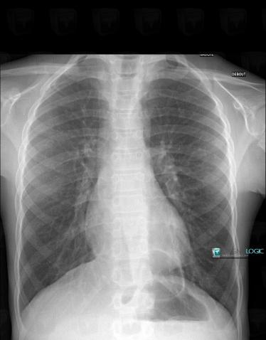
Hiatal hernia, Diaphragm, X rays
Here is the specific information in the key image above:
- Diagnosis Hiatal hernia (link to Diaphragmatic hernia), Location(s) Diaphragm, with gamuts Unilateral elevated diaphragm

Hiatal hernia, Mediastinum, CT
Here is the specific information in the key image above:
- Diagnosis Hiatal hernia, Location(s) Mediastinum, with gamuts Posterior mediastinal mass

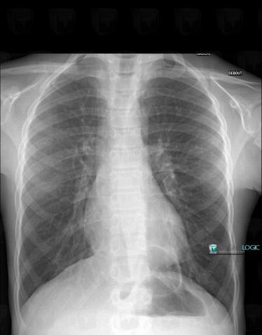
Hiatal hernia, Diaphragm, X rays
Here is the specific information in the key image above:
- Diagnosis Hiatal hernia (link to Diaphragmatic hernia), Location(s) Diaphragm, with gamuts Unilateral elevated diaphragm

Hiatal hernia, Mediastinum, CT
Here is the specific information in the key image above:
- Diagnosis Hiatal hernia, Location(s) Mediastinum, with gamuts Posterior mediastinal mass

Return to the patient details